einstein (São Paulo). 06/Nov/2020;18:eAI5891.
COVID-19 on resonance magnetic: an incidental but important finding in times of pandemic
DOI: 10.31744/einstein_journal/2020AI5891
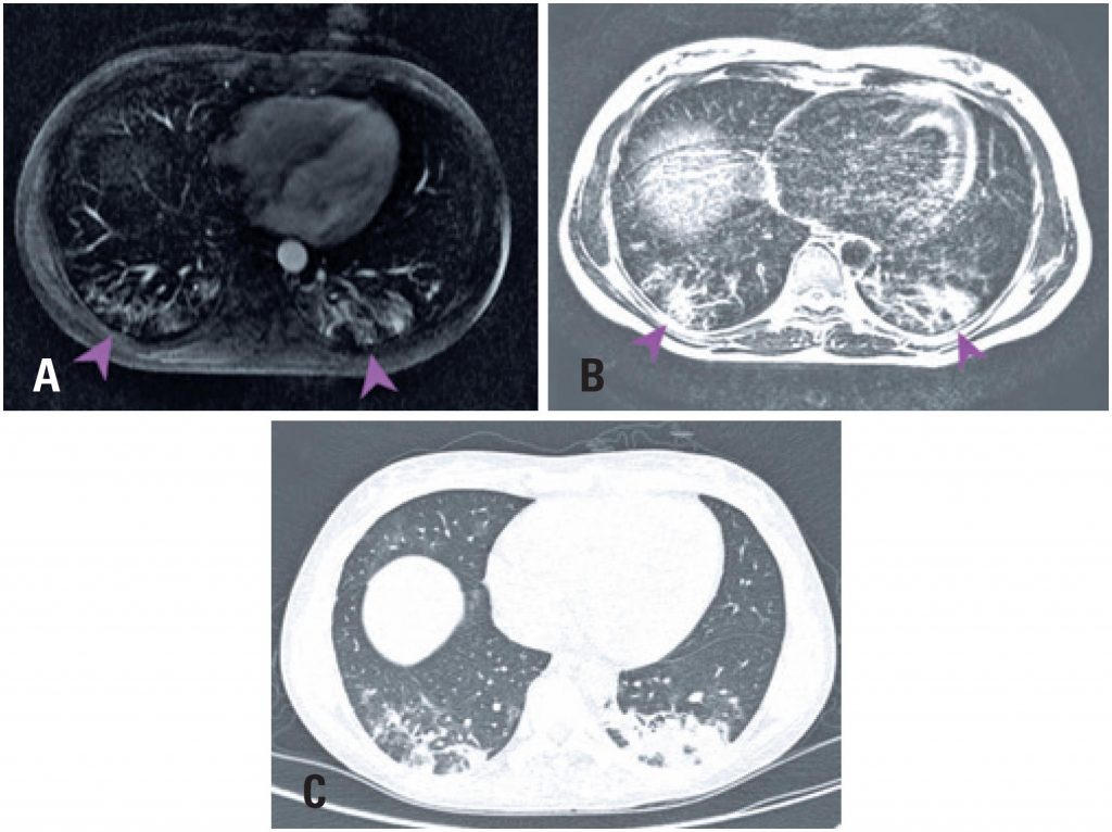
A 34-year-old woman with a personal history of ulcerative rectocolitis for 5 years who were using sulphasalazine and mesalazine. The patient was admitted to the emergency unit presenting asthenia, dyspnea, fever, cough with hemoptoic sputum for 8 days, and oxygen saturating by 97% in room air. The computed tomography (CT) () showed sparse ground-glass opacities, although more evident in the posterior contour of lower lobes. She was hospitalized and tested positive for coronavirus infection identified through real-time reverse-transcription-polymerase-chain-reaction (RT-PCR) test. During the hospitalization she presented diffuse abdominal pain with liquid, dark, and foul-smelling stools, and underwent an upper abdominal magnetic resonance.
Magnetic resonance imaging cuts () showed bilateral ground-glass opacities in lung bases with posterior and subpleural predominance with similar aspects to those showed in the CT.
[…]
2,766

