einstein (São Paulo). 06/nov/2020;18:eAI5891.
COVID-19 na ressonância magnética: um achado incidental, mas importante em tempos de pandemia
DOI: 10.31744/einstein_journal/2020AI5891
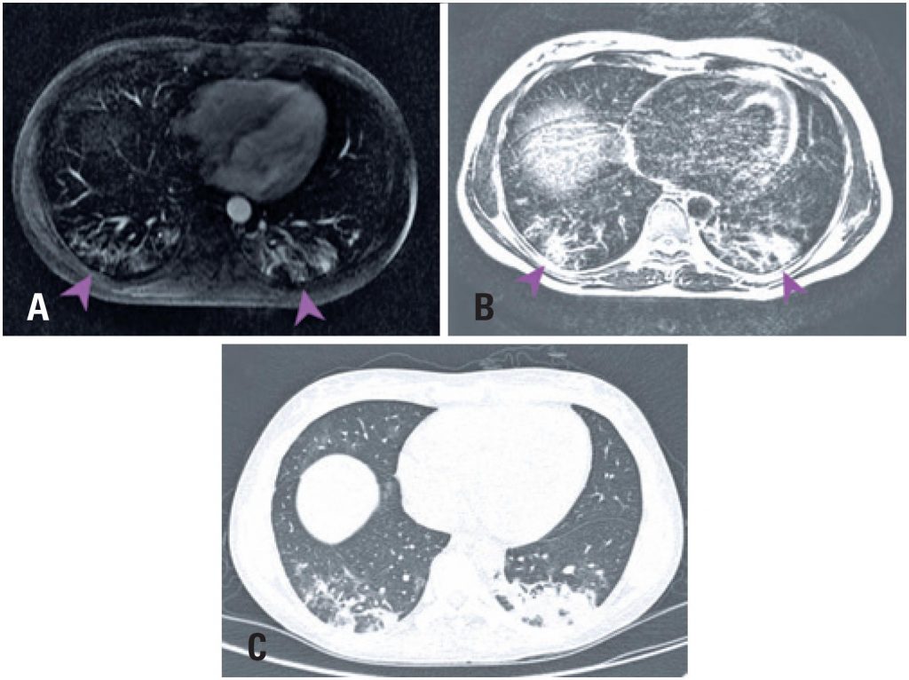
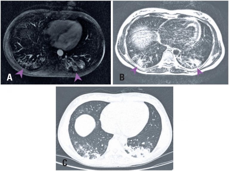
Paciente do sexo feminino, 34 anos, com antecedente pessoal de retocolite ulcerativa há 5 anos, em uso de sulfassalazina e mesalazina, deu entrada no pronto-socorro apresentando quadro de astenia, dispneia, febre e tosse associada a escarro hemoptoico há 8 dias, saturando 97% ao ar ambiente. Realizou tomografia computadorizada (TC) () que demonstrou opacidade em vidro fosco esparsa, embora mais evidente no contorno posterior dos lobos inferiores. Foi admitida para internação e teve o diagnóstico de infecção pelo novo coronavírus por meio de reação em cadeia da polimerase com transcrição reversa (rt-PCR). Durante a internação, apresentou dor abdominal difusa com fezes líquidas, escurecidas e de odor forte, realizando ressonância magnética (RM) do abdome superior para avaliação.
Os cortes da RM () evidenciaram opacidades bilaterais nas bases pulmonares, com predomínio posterior e subpleural, com aspecto similar àquele demonstrado na TC.
[…]
2.798

