einstein (São Paulo). 14/Feb/2019;17(1):eRC4610.
Clinicopathological and immunohistochemical analysis of spindle cell squamous cell carcinoma of the tongue: a rare case
DOI: 10.31744/einstein_journal/2019RC4610
ABSTRACT
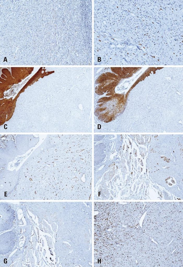
Spindle cell squamous cell carcinoma of the tongue is a rare variant of squamous cell carcinoma. This paper reports the case of a spindle cell squamous cell carcinoma of the tongue, in a 64-year-old male patient, and presents a review of the etiopathogenesis, clinicopathological and immunohistochemical features and treatment of the malignancy. The patient presented for evaluation of a painful swelling on his tongue. Extraoral examination revealed palpable submandibular and superior cervical lymph nodes. Based on the presumptive diagnoses of squamous cell carcinoma or malignant salivary gland neoplasm, an incisional biopsy was performed. Histopathological analysis showed a proliferation of atypical spindle cells, exhibiting extensive pleomorphism. Tumor cells were positive for vimentin, P53 and alpha-smooth muscle actin, focally positive for epithelial membrane antigen and P63, and negative for pan-cytokeratin (AE1/AE3), CK7, CD138, CD34, CD56, and S-100. The positivity index for Ki-67 was approximately 40%. The diagnosis of spindle cell squamous cell carcinoma was established and the patient was referred to a head and neck surgery service. In the oral cavity, spindle cell squamous cell carcinoma of the tongue is an aggressive variant of squamous cell carcinoma, which usually presents as an exophytic mass located on the tongue of elderly males. Due to its distinct histopathological characteristics, immunohistochemistry is a valuable and helpful tool to establish the diagnosis of spindle cell squamous cell carcinoma of the tongue.
2,182

