einstein (São Paulo). 01/Oct/2011;9(4):494-8.
Aspiration and ethanol sclerotherapy to treat recurrent ovarian endometriomas prior to in vitro fertilization – a pilot study
DOI: 10.1590/S1679-45082011AO2081
ABSTRACT
Objective:
To describe the evolution of controlled ovarian hyperstimulation in women with recurrent ovarian endometriomas treated with sclerotherapy.
Methods:
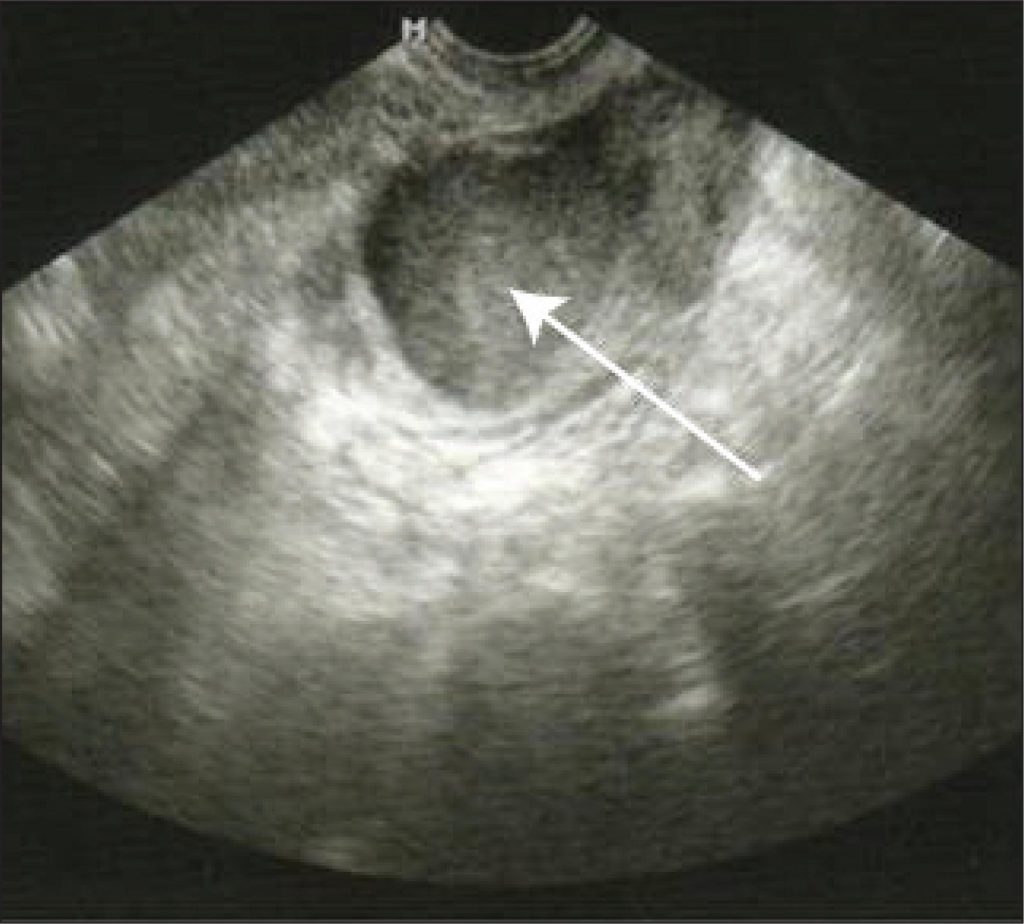
Twenty-one patients with a laparoscopic diagnosis of stage III or IV endometriosis who had an endometrioma larger than 3 cm before ovarian hyperstimulation for in vitro fertilization were included in the study. After using a GnRH agonist analog for at least 20 days, the cysts were punctured using ultrasound guidance and subsequent ethanol sclerotherapy was performed. Then, the patients were stimulated with 100 or 200 U/day of recombinant follicle stimulating hormone, varying the dose according to the patient’s age or history of a previous unilateral oophorectomy.
Results:
The ovarian cysts had an average diameter of 4.7 ± 1.4 cm and did not recur after aspiration during the ovulation induction. Oocyte extraction occurred after 11 days of hyperstimulation, with 3.95 ± 3.30 oocytes obtained per cycle, on average. Embryo transfer occurred in 71.4% (15/21) of patients, and the pregnancy rate after transfer was 20% (3/15).
Conclusion:
Aspiration followed by ethanol sclerotherapy prior to in vitro fertilization can be an option for patients who desire a pregnancy and have recurrent endometriomas.
1,503

