einstein (São Paulo). 01/Apr/2017;15(2):186-91.
Action of vanillin (Vanilla planifolia) on the morphology of tibialis anterior and soleus muscles after nerve injury
DOI: 10.1590/S1679-45082017AO3967
ABSTRACT
Objective
To evaluate the action of vanillin (Vanilla planifolia) on the morphology of tibialis anterior and soleus muscles after peripheral nerve injury.
Methods
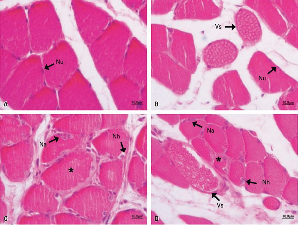
Wistar rats were divided into four groups, with seven animals each: Control Group, Vanillin Group, Injury Group, and Injury + Vanillin Group. The Injury Group and the Injury + Vanillin Group animals were submitted to nerve injury by compression of the sciatic nerve; the Vanillin Group and Injury + Vanillin Group, were treated daily with oral doses of vanillin (150mg/kg) from the 3rd to the 21st day after induction of nerve injury. At the end of the experiment, the tibialis anterior and soleus muscles were dissected and processed for light microscopy and submitted to morphological analysis.
Results
The nerve compression promoted morphological changes, typical of denervation, and the treatment with vanillin was responsible for different responses in the studied muscles. For the tibialis anterior, there was an increase in the number of satellite cells, central nuclei and fiber atrophy, as well as fascicular disorganization. In the soleus, only increased vascularization was observed, with no exacerbation of the morphological alterations in the fibers.
Conclusion
The treatment with vanillin promoted increase in intramuscular vascularization for the muscles studied, with pro-inflammatory potential for tibialis anterior, but not for soleus muscle.
373

