2 results
28/Mar/2019
DOI: 10.31744/einstein_journal/2019AO4533
ABSTRACT Objective To evaluate the feasibility and applicability of a low-cost cryotherapy system. Methods Experimental study with 25kg Landrace pigs submitted to a longitudinal cervico-thoraco-abdominal incision for exposure of the trachea, thorax and abdomen. The tissues were frozen by continuous spray application at different periods of time (5, 10 and 15 seconds). Spray cryotherapy was performed using a fluorinated gas (tetrafluorethane) delivered at – 47°C temperature (DermaFreeze®, Emdutos; ANVISA registration 80409950001; price R$ 394,00). via an adapted, disposable 1.8mm cholangiography […]
Keywords: Bronchoscopy; Cryotherapy; Nasal sprays; Swine
10/Sep/2018
10/Sep/2018
DOI: 10.1590/S1679-45082018AO4206
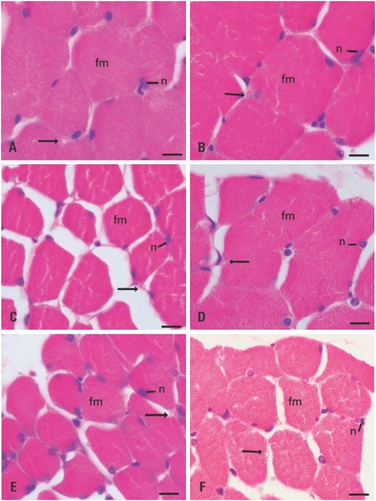
ABSTRACT Objective: To evaluate the effects of right sciatic nerve compression and cryotherapy on muscle tissue. Methods: We used 42 male Wistar rats, subdivided in the following Groups Control, Injury 3, Injury 8 and Injury 15 submitted to nerve compression and euthanized in the 3rd, 8th and 15th day after surgery. The Cryotherapy Injury 3 was entailed treatment with cryotherapy by immersion of the animal in recipient for 20 minutes during 1 day, then animals were euthanized at the 3rd […]
Keywords: Cryotherapy; Muscle; Nerve crush; Rats, Wistar