einstein (São Paulo). 10/Jun/2025;23:eRC1294.
Uretero-fallopian fistula after gynecological surgery for endometriosis: a case report
DOI: 10.31744/einstein_journal/2025RC1294
ABSTRACT
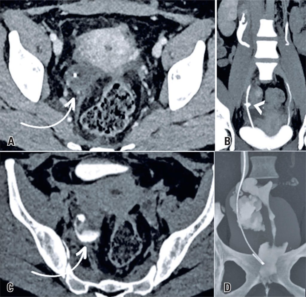
The increasing use of videolaparoscopy for the complete excision of endometriotic lesions and restoration of pelvic anatomy has helped improve long-term outcomes. However, risks remain, including rare but significant complications such as salpingoureteral fistulas. Early diagnosis using imaging methods enables adequate treatment and reduces the risk of new complications. In this report, we present a case of uretero-fallopian fistula following gynecological surgery for the resection of endometriotic lesions, with intraoperative inadvertent ureteral injury. This case report aimed to highlight the importance of diagnostic imaging in postoperative complications of gynecological surgeries for endometriosis, especially if inadvertent injuries occur during the procedure, and to guide the medical community in suspecting and addressing this condition.
235

