einstein (São Paulo). 07/Nov/2023;21:eAI0386.
Tricuspid valve prolapse and annular disjunction evaluated by cardiac magnetic resonance: a new method
DOI: 10.31744/einstein_journal/2023AI0386
A 49-year-old woman with a history of pulmonary thromboembolism and right ventricular dysfunction sought consultation with a pulmonologist at our hospital, reporting exertion dyspnea and four episodes of syncope with prodromal palpitations. Physical examination results were unremarkable, and the patient had no history of heart disease.
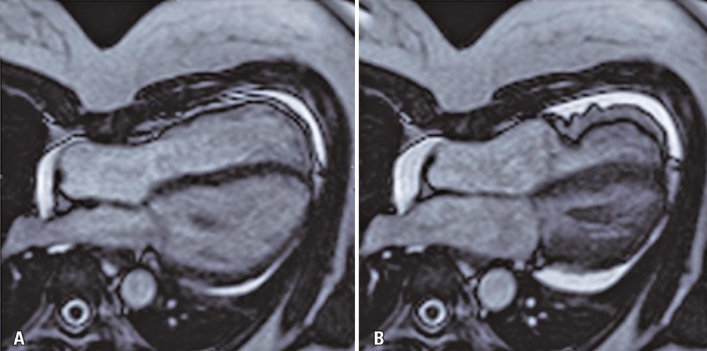
Cardiac magnetic resonance imaging was performed for proper evaluation of the right ventricle. Cardiac magnetic resonance showed normal biventricular function; however, tricuspid valve prolapse and tricuspid annulus disjunction were observed (maximum separation between the tricuspid valve and the free wall of the right ventricle was 5mm) ( ), along with pectus excavatum and mild pericardial effusion. Late gadolinium enhancement sequences revealed non-myocardial fibrosis ( ).
[…]
89

