einstein (São Paulo). 02/Feb/2022;20:eRC6550.
The use of convalescent plasma therapy in the management of a pregnant woman with COVID-19: a case report
DOI: 10.31744/einstein_journal/2022RC6550
ABSTRACT
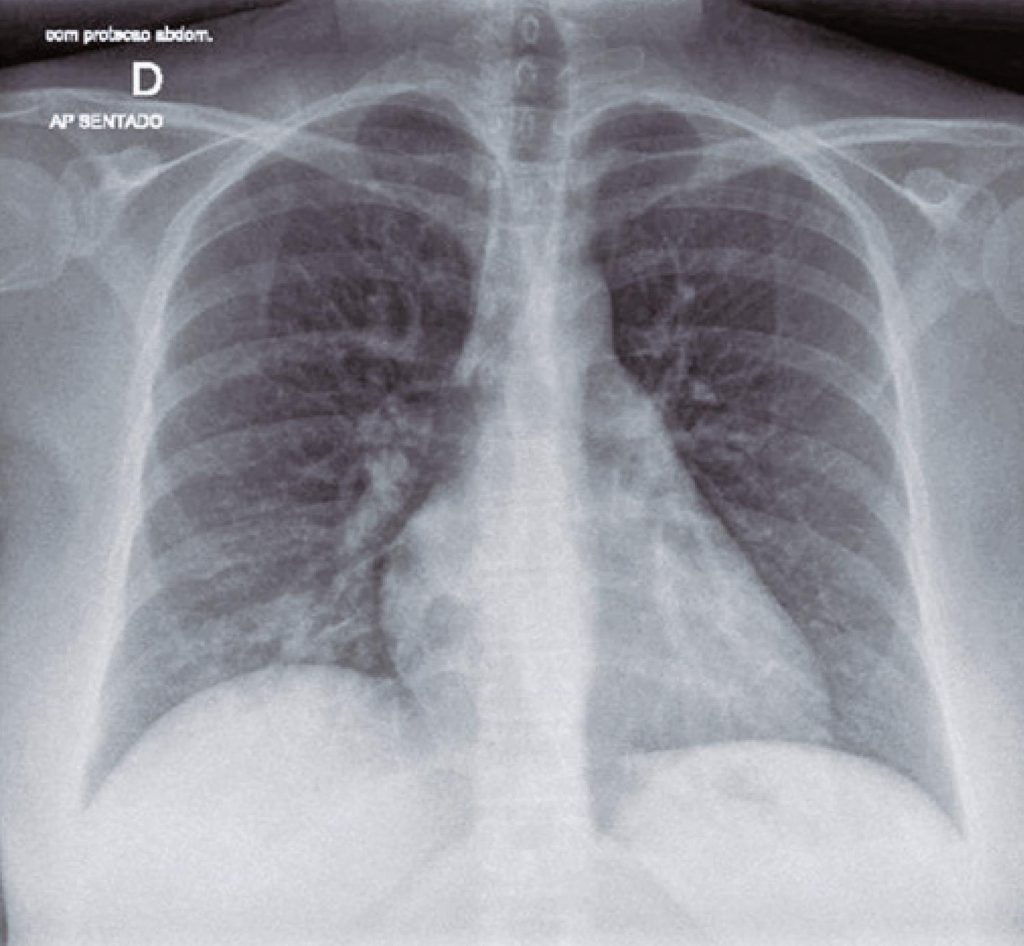
The coronavirus disease 19 (COVID-19) is responsible for the current worldwide pandemic. Treatment and prophylaxis are still under investigation. Convalescent plasma therapy could be an alternative. We report a case of a 41-year-old patient, at 28 weeks of gestation, was hospitalized with COVID-19. On the 10th day after onset of symptoms, the clinical picture worsened, and she required high-flow oxygen therapy (30L/minute), with 92% oxygen saturation, and chest X-ray showing mild bilateral opacities at lung bases. Blood tests showed D-dimer 1,004ng/mL, C-reactive protein 81mg/L, pro-calcitonin 0.05ng/mL and interleukine-6 42.9pg/mL. The therapy chosen was Tazocin® 12g/day, vancomycin 2g/day, and methylprednisolone 40mg/day. In addition, convalescent plasma therapy was administered (275mL) uneventfully, including SARS-CoV-2 antibodies and neutralizing antibodies >1:160. The patient had a fast recovery. The early administration of convalescent plasma, with high titers of neutralizing antibodies, may be an alternative option for severe COVID-19 during pregnancy, until further studies demonstrate an efficient and safe treatment or prophylaxis.
281

