einstein (São Paulo). 02/Aug/2021;19:eAO5657.
Study of muscle fibers of the extensor digitorium longus and soleus muscles of C57BL/6 females exposed to glyphosate during pregnancy and lactation
DOI: 10.31744/einstein_journal/2021AO5657
ABSTRACT
Objective
To evaluate the morphology and morphometry of the muscles extensor digitorium longus and soleus of C57BL/6 females, who were exposed to glyphosate during pregnancy and lactation.
Methods
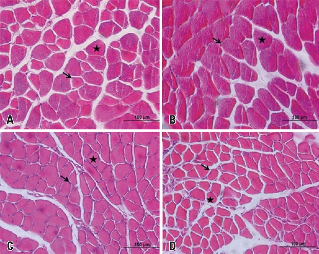
Twelve female mice from the C57BL/6 lineage were used. After detection of pregnancy, they were divided into a Control Group, which received only water, and a Glyphosate Group, which received water with 0.5% glyphosate during pregnancy and lactation. Both groups received ad libitum standard diet. After weaning, the females were euthanized and weighed; naso-anal length was measured, and fats were collected and weighed. The muscles extensor digitorium longus and soleus were collected, and their length and weight were measured. Then, the muscles were fixed in Methacarn to perform the histological study of muscle fibers.
Results
Glyphosate Group presented lower weight gain during pregnancy and also lower final body weight and naso-anal length; however, the other body parameters evaluated did not present a significant difference in relation to the Control Group. Significant differences were also not observed in the analysis of muscle fibers and connective tissue.
Conclusion
Exposure to 0.5% glyphosate during pregnancy and lactation resulted in lower weight gain during pregnancy, final weight, and naso-anal length. Despite not directly altering the morphology of muscle tissue, these results may indicate enough exposure to interfere with animal metabolism.
432

