The journal einstein (São Paulo) – e-ISSN 2317-6385 is dedicated to dissemination of high-quality scientific content that advances our understanding of human disease with the goal of improving prevention, care, diagnostics and treatment of patients globally.
Small cell carcinoma of the urinary bladder is an extremely aggressive and rare tumor. Even though small cell carcinoma most commonly arises from the lungs there are several reports of small cell carcinoma in extrapulmonary sites. Due to its low frequency there is no well-established management for this disease. We report the case of a 61 year-old man with small cell carcinoma of the bladder who underwent radical cystectomy following neoadjuvant chemotherapy. We also reviewed the literature for the optimal treatment strategy.
CaladoBN, MaronPEG, VedovatoBC, BarreseTZ, FernandesRC, PerezMDC. Small cell carcinoma of the bladder. Einstein (São Paulo). 2014;13(1):114-6. https://doi.org/10.1590/S1679-45082014RC2975
Calado,Bruno Nagel; Maron,Paulo Eduardo Goulart; Vedovato,Bruno César; Barrese,Tomas Zecchini; Fernandes,Roni de Carvalho; Perez,Marjo Deninson Cardenuto. Small cell carcinoma of the bladder. Einstein (São Paulo)., v. 13, n. 1, p. 114-116, Dec. 2014. https://doi.org/10.1590/S1679-45082014RC2975
Calado,B.N., Maron,P.E.G., Vedovato,B.C., Barrese,T.Z., Fernandes,R.C., & Perez,M.D.C. (2014). Small cell carcinoma of the bladder. Einstein (São Paulo).,13(1), 114-116. https://doi.org/10.1590/S1679-45082014RC2975
Calado,Bruno Nagel and Maron,Paulo Eduardo Goulart and Vedovato,Bruno César and Barrese,Tomas Zecchini and Fernandes,Roni de Carvalho and Perez,Marjo Deninson Cardenuto. Small cell carcinoma of the bladder. Einstein (São Paulo). [online]. 2014, vol. 13, n. 1, [cited 2026-04-06], pp.114-116. Available from: <https://journal.einstein.br/article/small-cell-carcinoma-of-the-bladder/>. ISSN 1679-4508. https://doi.org/10.1590/S1679-45082014RC2975
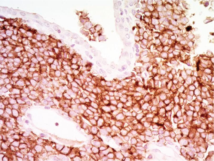
Figure 3
Marker CD-56 that characterizes neuroendocrine tumors