einstein (São Paulo). 26/Nov/2020;18:eRC5439.
Radiation-induced angiosarcoma: case report
DOI: 10.31744/einstein_journal/2020RC5439
ABSTRACT
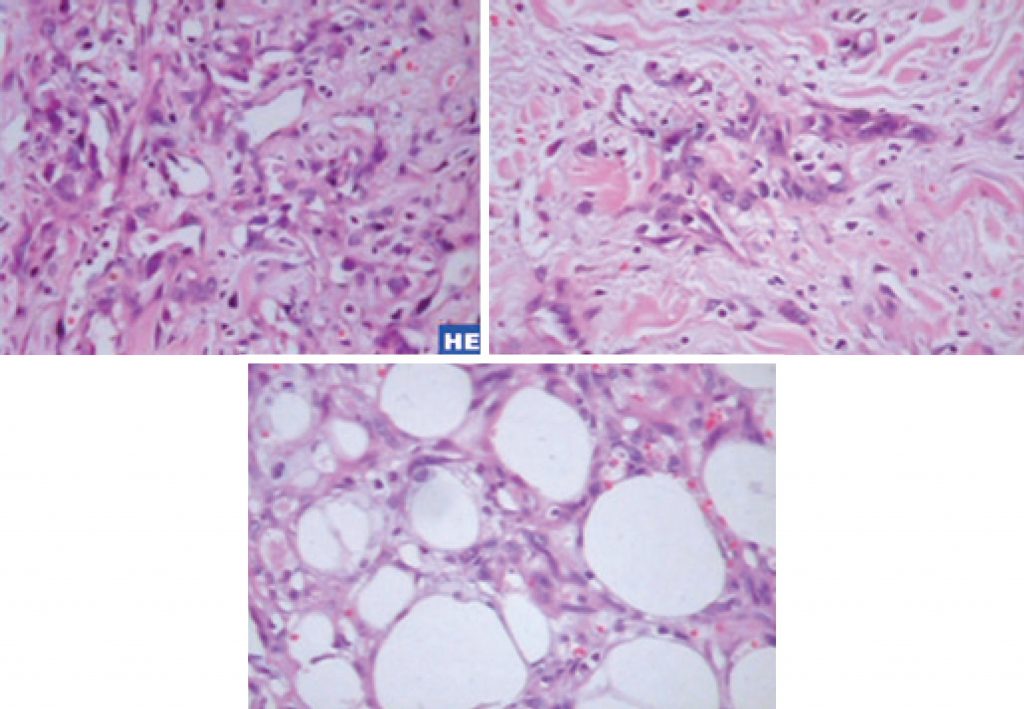
Angiosarcoma of the breast accounts for less than 1% of breast tumors. This tumor may be primary or secondary to previous radiation therapy and it is also named “radiogenic angiosarcoma of the breast”, which is still a rare entity with a poor prognosis. So far, there are only 307 cases reported about these tumors in the literature. We present a case of a 73-year-old woman with a prior history of breast-conserving treatment of right breast cancer, exhibiting mild pinkish skin changes in the ipsilateral breast. Her mammography was consistent with benign alterations (BI-RADS 2). On incisional biopsy specimens, hematoxylin-eosin showed atypical vascular lesion and suggested immunohistochemisty for diagnostic elucidation. Resection of the lesions was performed and histology showed radiogenic angiosarcoma. The patient underwent simple mastectomy. Immunohistochemistry was positive for antigens related to CD31 and CD34, and C-MYC oncogene amplification, confirming the diagnosis of angiosarcoma induced by breast irradiation. A delayed diagnosis is an important concern. Initial skin changes in radiogenic angiosarcoma are subtle, therefore, these alterations may be confused with other benign skin conditions such as telangiectasia. We highlight this case clinical aspects with the intention of alerting to the possibility of angiosarcoma of the breast in patients with a previous history of adjuvant radiation therapy for breast cancer treatment. Sixteen months after the surgery the patient remains asymptomatic.
Keywords: Hemangiosarcoma; Breast neoplasms/radiotherapy; Mastectomy
1,801

