einstein (São Paulo). 26/nov/2020;18:eRC5439.
Angiossarcoma induzido por radiação: relato de caso
DOI: 10.31744/einstein_journal/2020RC5439
RESUMO
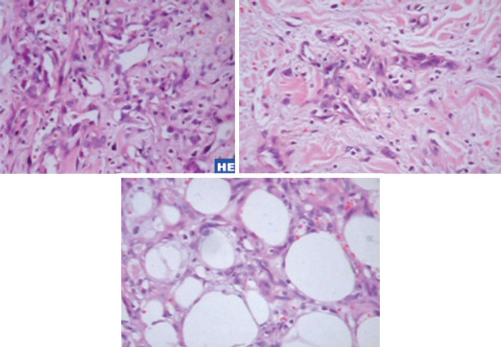
Os angiossarcomas de mama representam menos de 1% dos tumores da mama e podem ser primários ou secundários à radioterapia prévia. Tais tumores são chamados de “angiossarcomas radiogênicos da mama” e representam uma entidade mais rara ainda e de prognóstico ruim. Atualmente, na literatura, são encontrados apenas 307 casos desses tumores. Relatamos o caso de uma mulher de 73 anos, com história prévia de tratamento conservador de câncer de mama direita, apresentando alteração rósea discreta em pele da mama homolateral. A mamografia demostrou resultado compatível com alterações benignas (BI-RADS 2). No material de biópsia incisional, a hematoxilina-eosina demonstrou lesão vascular atípica e sugeriu imuno-histoquímica para elucidação diagnóstica. A paciente foi submetida à ressecção de lesões, e a histologia demonstrou angiossarcoma radiogênico. Em seguida, mastectomia simples foi realizada. A imuno-histoquímica demonstrou positividade para os antígenos relacionados a CD31 e CD34, e a amplificação do oncogene C-MYC confirmou o diagnóstico de angiossarcoma induzido por radiação mamária. O atraso no diagnóstico constitui questão importante. Considerando que as alterações iniciais da pele do angiossarcoma radiogênico são sutis e podem ser confundidas com outras condições benignas da pele, como telangiectasias, neste relato destacamos os aspectos clínicos, no intuito de alertar sobre a possibilidade de angiossarcoma de mama em pacientes com história prévia de radioterapia adjuvante para tratamento de câncer de mama. A paciente permaneceu assintomática 16 meses após a cirurgia.
Palavras-chave: Hemangiossarcoma; Neoplasias da mama/radioterapia; Mastectomia
1.830

