The journal einstein (São Paulo) – e-ISSN 2317-6385 is dedicated to dissemination of high-quality scientific content that advances our understanding of human disease with the goal of improving prevention, care, diagnostics and treatment of patients globally.
Primary hepatic carcinoid tumors are extremely rare neoplasms derived from hormone-producing neuroendocrine cells. It is difficult to make their diagnosis before biopsy, surgical resection or necropsy. A recent publication described only 94 cases of these tumors. There is no sex predilection and apparently it has no association with cirrhosis or preexisting hepatic disease. The most effective treatment is hepatectomy, and resection is determined by size and location of the lesions.
Primary hepatic carcinoid tumor: case report and literature review
CamargoS, ViveirosMM, Corrêa NetoIJF, RoblesL, RezendeMB. Primary hepatic carcinoid tumor: case report and literature review. Einstein (Sao Paulo). 2014;12(4):505-8. https://doi.org/10.1590/S1679-45082014RC2745
Camargo,Éden Sartor; Viveiros,Marcelo de Melo; Corrêa Neto,Isaac José Felippe; Robles,Laercio; Rezende,Marcelo Bruno. Primary hepatic carcinoid tumor: case report and literature review. Einstein (Sao Paulo)., v. 12, n. 4, p. 505-508, Nov. 2014. https://doi.org/10.1590/S1679-45082014RC2745
Camargo,S., Viveiros,M.M., Corrêa Neto,I.J.F., Robles,L., & Rezende,M.B. (2014). Primary hepatic carcinoid tumor: case report and literature review. Einstein (Sao Paulo).,12(4), 505-508. https://doi.org/10.1590/S1679-45082014RC2745
Camargo,Éden Sartor and Viveiros,Marcelo de Melo and Corrêa Neto,Isaac José Felippe and Robles,Laercio and Rezende,Marcelo Bruno. Primary hepatic carcinoid tumor: case report and literature review. Einstein (Sao Paulo). [online]. 2014, vol. 12, n. 4, [cited 2026-03-31], pp.505-508. Available from: <https://journal.einstein.br/article/primary-hepatic-carcinoid-tumor-case-report-and-literature-review/>. ISSN 1679-4508. https://doi.org/10.1590/S1679-45082014RC2745
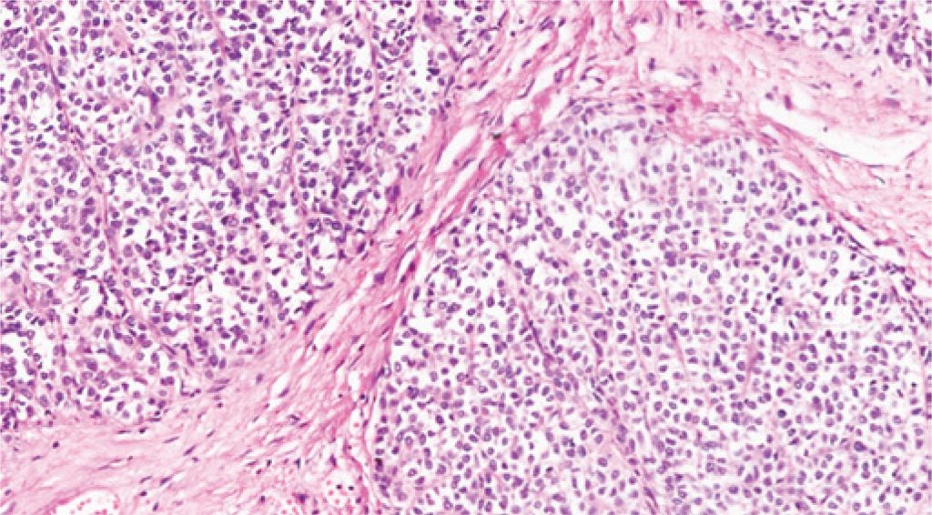
Figure 4
Histology – epithelioid neoplasm, with medium-sized cells, irregular nuclei, in organoid arrangements and blocks - 8 mitosis per 10 HPF, with necrotic foci
Histology – epithelioid neoplasm, with medium-sized cells, irregular nuclei, in organoid arrangements and blocks - 8 mitosis per 10 HPF, with necrotic foci