einstein (São Paulo). 22/Nov/2024;22:eRC1008.
Percutaneous radiofrequency ablation of an actively bleeding renal angiomyolipoma
DOI: 10.31744/einstein_journal/2024RC1008
ABSTRACT
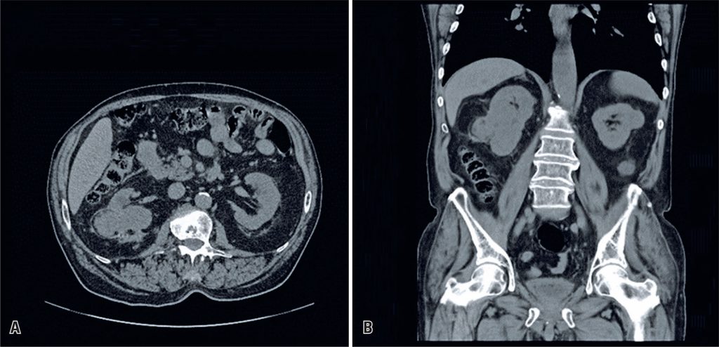
We report a case of computed tomography-guided percutaneous radiofrequency ablation of a bleeding renal angiomyolipoma. Radiofrequency ablation was performed as an alternative to partial nephrectomy and super-selective renal artery embolization for ruptured renal angiomyolipoma with slow persistent bleeding in a patient with elevated serum creatinine levels and other comorbidities. Computed tomography-guided radiofrequency ablation successfully stopped the active hemorrhage and did not affect long-term renal function during the 3-year follow period. No complications were associated with the procedure. Radiofrequency ablation of a bleeding renal angiomyolipoma may be considered a more invasive surrogate procedure in an urgent setting; however, further studies are necessary to evaluate the long-term benefits of this approach and its overall impact on renal function compared to traditional methods.
164

