einstein (São Paulo). 03/Oct/2025;23:eRC1593.
Percutaneous embolization of lymphatic leakage after pelvic lymphadenectomy
DOI: 10.31744/einstein_journal/2025RC1593
ABSTRACT
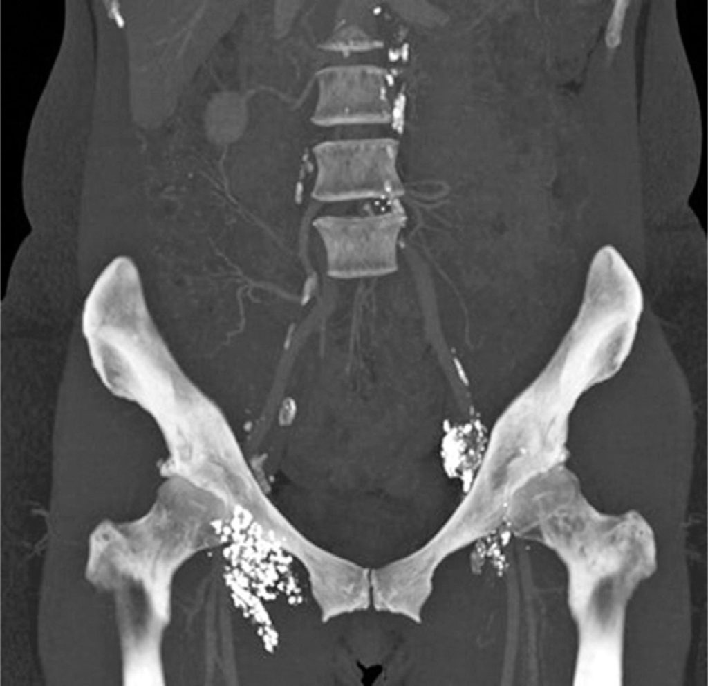
Lymphatic leakage after pelvic lymphadenectomy is a rare complication. Furthermore, in some cases, drainage is not possible or proves insufficient to resolve this complication. Therefore, more effective and minimally invasive interventional treatments are necessary. Accordingly, this case report presents a case of transafferent nodal embolization in a 50-year-old woman who underwent videolaparoscopic total hysterectomy with pelvic lymphadenectomy. The patient developed high post-surgery vaginal flow due to a lymphatic fistula, which was identified after intranodal lymphangiography and treated successfully via transafferent nodal embolization. This case report shows the importance of considering lymphatic leakage as a possible pelvic surgery complication, particularly when accompanied by local lymphadenectomy. Moreover, the case report reveals that intranodal lymphangiography and transafferent nodal embolization are safe and highly effective methods to detect and treat this complication. This prevents the need for follow-up surgery, which may add morbidity to an otherwise uneventful postoperative period.
Level of evidence:
Level 5, Case Report.
Keywords: Lymph node excision; Lymphatic diseases; Embolization; Morbidity
51

