einstein (São Paulo). 01/Jan/2014;12(1):132-3.
Of periauricular pits and sinuses: understanding the masqueraders
DOI: 10.1590/S1679-45082014AI3020
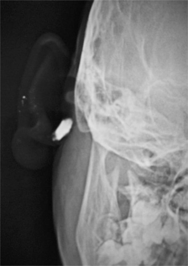
An eight-year-old girl presented with complaints of intermittent discharge from a pit situated in the medial surface of right pinna since early childhood. The discharge was scanty, foul-smelling and mucoid, and occasionally purulent. The frequency had increased in the last year with development of a swelling just below the pit that often got inflamed and caused pain. On examination, an opening was noted just above the lobule leading to a swelling that reached the post-auricular sulcus (). An area of scarring and pigmentation in the lateral surface of the pinna in immediate vicinity to the external auditory canal (EAC) − reminiscent of past inflammations involving the EAC skin, could be seen that corresponded to the sinus tract (). Also, similar pits, which were asymptomatic were noted on the ascending helix of the right () as well as left pinna (). After controlling the infection with antibiotics, a sinogram was ordered to assess the post-auricular lesion, which showed a sinus tract that ballooned in to the soft tissue of the neck, just below the mastoid process and EAC, and posterior to the ramus of the mandible (). The tract was excised under general anesthesia. Peroperatively, it was found to end blindly stopping just short of invading the parotid tissue.
[…]
347

						