einstein (São Paulo). 29/May/2020;18:eAI5750.
Novel coronavirus pneumonia and acute pulmonary thromboembolism: casualty or causality?
DOI: 10.31744/einstein_journal/2020AI5750
A great concern in the current global scenario, the pandemic caused by the novel coronavirus (COVID-19) has been one of the main reasons for chest computed tomography requests, both in early evaluation or late control. COVID-19 patients present an increased D-dimer, a finding likely related to hypercoagulability status and marker of worse prognosis. ( ) We report two cases with laboratory confirmation of coronavirus and acute pulmonary embolism – an association already described. ( , )
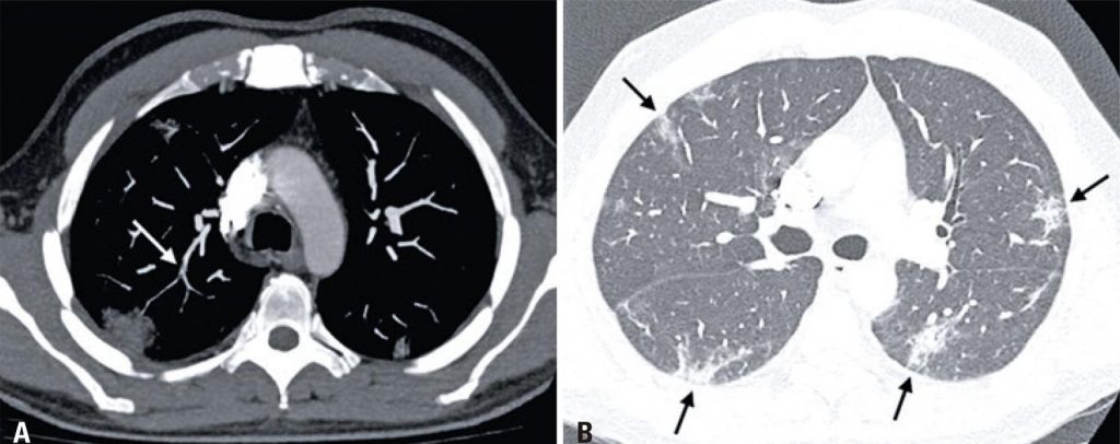
A 49-year-old man who underwent a computed tomography pulmonary angiography (CTPA) due to a worsening of dyspnea, newly onset of chest pain and D-dimer elevation (711ng/dL) on the seventh day of hospitalization. A filling defect was observed on the segmental artery branch in the right superior lobe, a compatible finding with pulmonary embolism ( ), as well as typical changes caused by coronavirus pneumonia ( ). ( , )
[…]
5,659

