einstein (São Paulo). 01/Jan/2014;12(1):100-5.
Normalization of lymphocyte count after high ablative dose of I-131 in a patient with chronic lymphoid leukemia and secondary papillary carcinoma of the thyroid. Case report
DOI: 10.1590/S1679-45082014RC2657
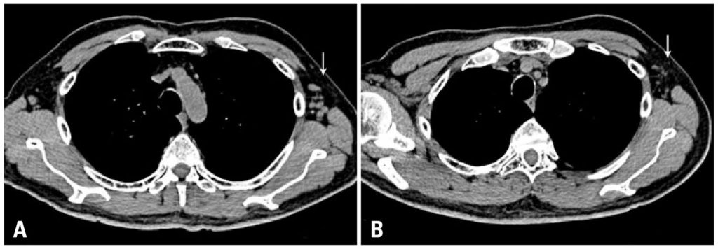
The authors report the case of a 70-year-old male patient with chronic lymphoid leukemia who presented subsequently a papillary carcinoma of the thyroid with metastases to regional lymph nodes. The patient was treated with surgical thyroidectomy with regional and cervical lymph node excision and radioiodine therapy (I-131). The protocolar control scintigraphy 4 days after the radioactive dose showed I-131 uptake in both axillae and even in the inguinal regions. PET/CT showed faint FDG-F-18 uptake in one lymph node of the left axilla. An ultrasound guided fine needle biopsy of this lymph node identified by I-131 SPECT/CT and FDG-F-18 PET/CT revealed lymphoma cells and was negative for thyroid tissue and thyroglobulin content. The sequential blood counts done routinely after radiation treatment showed a marked fall until return to normal values of leucocytes and lymphocytes (absolute and relative), which were still normal in the last control 19 months after the radioiodine administration. Chest computed tomography showed a decrease in size of axillary and para-aortic lymph nodes. By immunohistochemistry, cells of the lymphoid B lineage decreased from 52% before radioiodine therapy to 5% after the procedure. The authors speculate about a possible sodium iodide symporter expression by the cells of this lymphoma, similar to some other non-thyroid tumors, such as breast cancer cells.
913

