einstein (São Paulo). 16/Mar/2026;24:eRC1169.
Müllerian-type clear cell adenocarcinoma of the urethra: a case report
DOI: 10.31744/einstein_journal/2026RC1169
ABSTRACT
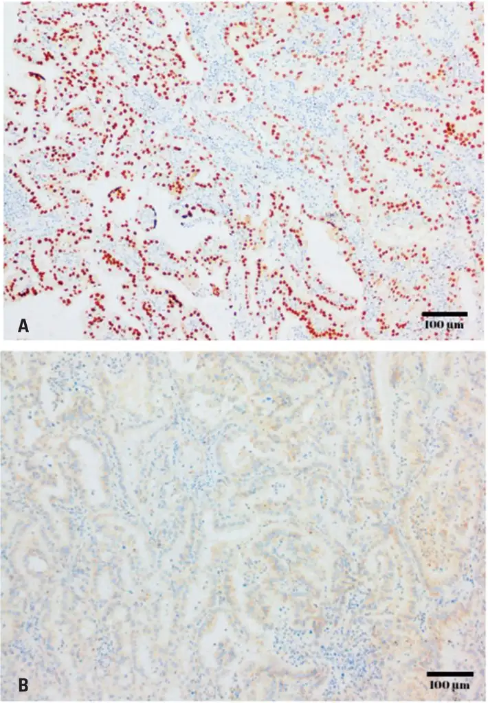
Primary urethral carcinoma is a rare malignancy, particularly in women, that often presents at an advanced stage with nonspecific symptoms. Among the histological subtypes, clear cell adenocarcinoma is exceptionally uncommon, with approximately only 250 cases reported in the English literature, posing diagnostic and management challenges. We report a case of Müllerian-type clear cell adenocarcinoma of the urethra in a 58-year-old woman. Imaging studies excluded gynecological origins, suggesting derivation from a Müllerian duct remnant or metaplasia. Histologically, the tumor displayed the classic features of clear cell carcinoma, which were supported by positive PAX8 and napsin A immunostaining. Primary urethral adenocarcinoma appears to have poor prognosis in women. Current management relies on a multimodal approach that combines surgery, chemotherapy, and radiotherapy and has shown promising outcomes in recent studies. This case highlights the importance of considering clear cell adenocarcinomas in the differential diagnosis of urethral tumors.
60

