einstein (São Paulo). 26/Nov/2024;22:eRC1280.
Migration of metallic acupuncture threads from the breast to the right ventricle: a case report
DOI: 10.31744/einstein_journal/2024RC1280
ABSTRACT
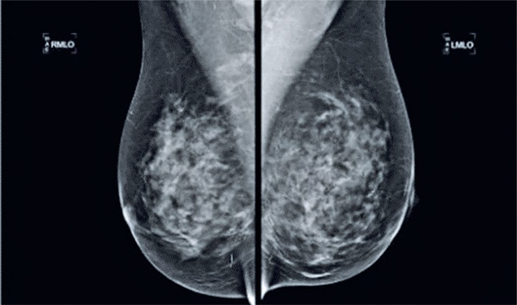
This case report discusses the migration of a foreign body from the breast to the mediastinum, which is rarely reported, and highlights complications associated with Okibari acupuncture. This technique involves the insertion of metal fragments into the skin. A 53-year-old woman underwent mammography showing acupuncture-related metallic fragments in the breast. Cardiac evaluation revealed the presence of metallic fragments in the right ventricle and myocardium. Despite the fragments‘ location in the mediastinum, the patient remained asymptomatic, leading us to take a conservative approach. This case highlights the importance of awareness of the potential complications of foreign bodies and emphasizes the need for careful monitoring.
363

