einstein (São Paulo). 01/Jan/2011;9(1 Pt 1):100-1.
Low-energy femoral shaft fracture in elderly patient with prolonged use of alendronate
DOI: 10.1590/S1679-45082011AI1406
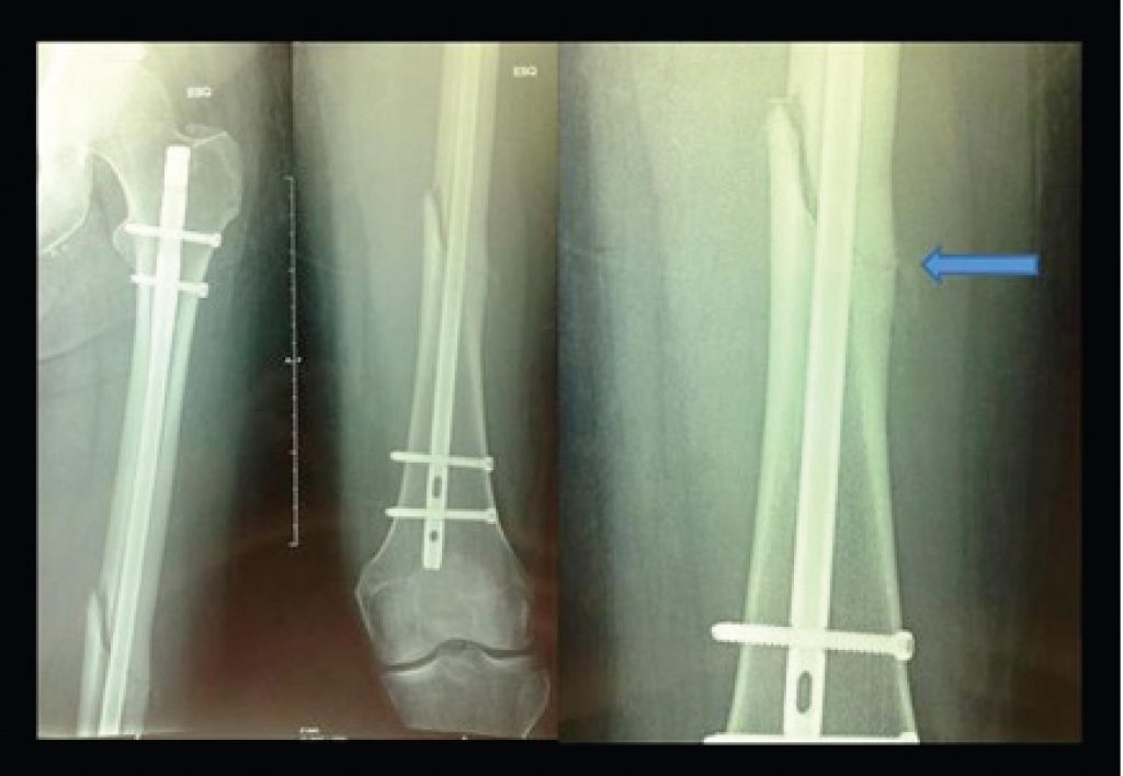
Fractures in the proximal femur occur in female and male elderly population due to low-energy trauma in osteoporotic bones. In order to prevent these fractures, treatment of osteoporosis has been indicated, particularly using biphosphonates().
Alendronate was the first drug approved by the Food and Drug Administration (FDA), in 1995, to treat osteoporosis(). This drug acts in bone metabolism, inhibiting osteoclasts, inducing their apoptosis(), raising the bone mineral density and reducing the incidence of osteoporotic fractures().
[…]
1,180

