A revista einstein (São Paulo) - e-ISSN 2317-6385 é dedicada à divulgação de conteúdo científico de alta qualidade para o avanço da nossa compreensão das doenças humanas e com o objetivo de melhorar a prevenção, o cuidado, o diagnóstico e o tratamento de pacientes em todo o mundo.
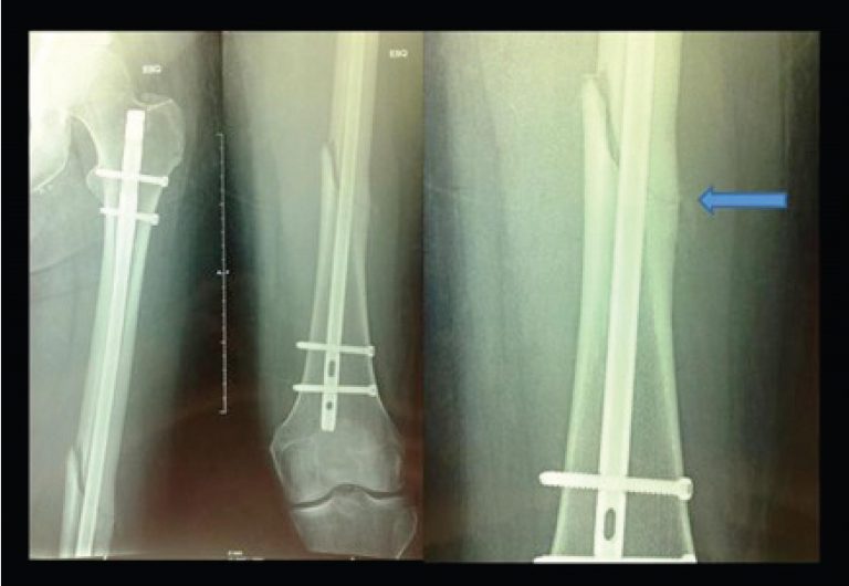
Fraturas no fêmur proximal ocorrem em mulheres e homens idosos devido a trauma de baixa energia em ossos osteoporóticos. Recomenda-se o tratamento da osteoporose, especialmente com bifosfonatos, para tais fraturas sejam evitadas().
O alendronato foi o primeiro fármaco aprovado pelo Food and Drug Administration (FDA), em 1995, para tratar osteoporose(). Essa droga atua no metabolismo ósseo, ao inibir os osteoclastos, induzir sua apoptose(), elevar a densidade mineral óssea e reduzir a incidência de fraturas osteoporóticas().
[…]
Fraturas diafisárias do fêmur por baixa energia nos pacientes idosos com uso prolongado de alendronato
VicenteJRN, RebolledoDS, LeonhardtMC, BernsteinM. Fraturas diafisárias do fêmur por baixa energia nos pacientes idosos com uso prolongado de alendronato. Einstein (São Paulo) 2011;9(1 Pt 1):100-1. https://doi.org/10.1590/S1679-45082011AI1406
Vicente,José Ricardo Negreiros; Rebolledo,Daniel Seguel; Leonhardt,Marcos Camargo; Bernstein,Mauricio. Fraturas diafisárias do fêmur por baixa energia nos pacientes idosos com uso prolongado de alendronato. Einstein (São Paulo), v. 9, n. 1 Pt 1, p. 100-101, jan. 2011. https://doi.org/10.1590/S1679-45082011AI1406
Vicente,J.R.N., Rebolledo,D.S., Leonhardt,M.C., & Bernstein,M. (2011). Fraturas diafisárias do fêmur por baixa energia nos pacientes idosos com uso prolongado de alendronato. Einstein (São Paulo),9(1 Pt 1), 100-101. https://doi.org/10.1590/S1679-45082011AI1406
Vicente,José Ricardo Negreiros and Rebolledo,Daniel Seguel and Leonhardt,Marcos Camargo and Bernstein,Mauricio. Fraturas diafisárias do fêmur por baixa energia nos pacientes idosos com uso prolongado de alendronato. Einstein (São Paulo) [online]. 2011, vol. 9, n. 1 Pt 1, [cited 2026-05-23], pp.100-101. Available from: <https://journal.einstein.br/pt-br/article/fraturas-diafisarias-do-femur-por-baixa-energia-nos-pacientes-idosos-com-uso-prolongado-de-alendronato/>. ISSN 1679-4508. https://doi.org/10.1590/S1679-45082011AI1406