einstein (São Paulo). 15/Jun/2018;16(2):eRC4030.
Immunotherapy-induced pneumonitis: cases report
DOI: 10.1590/S1679-45082018RC4030
ABSTRACT
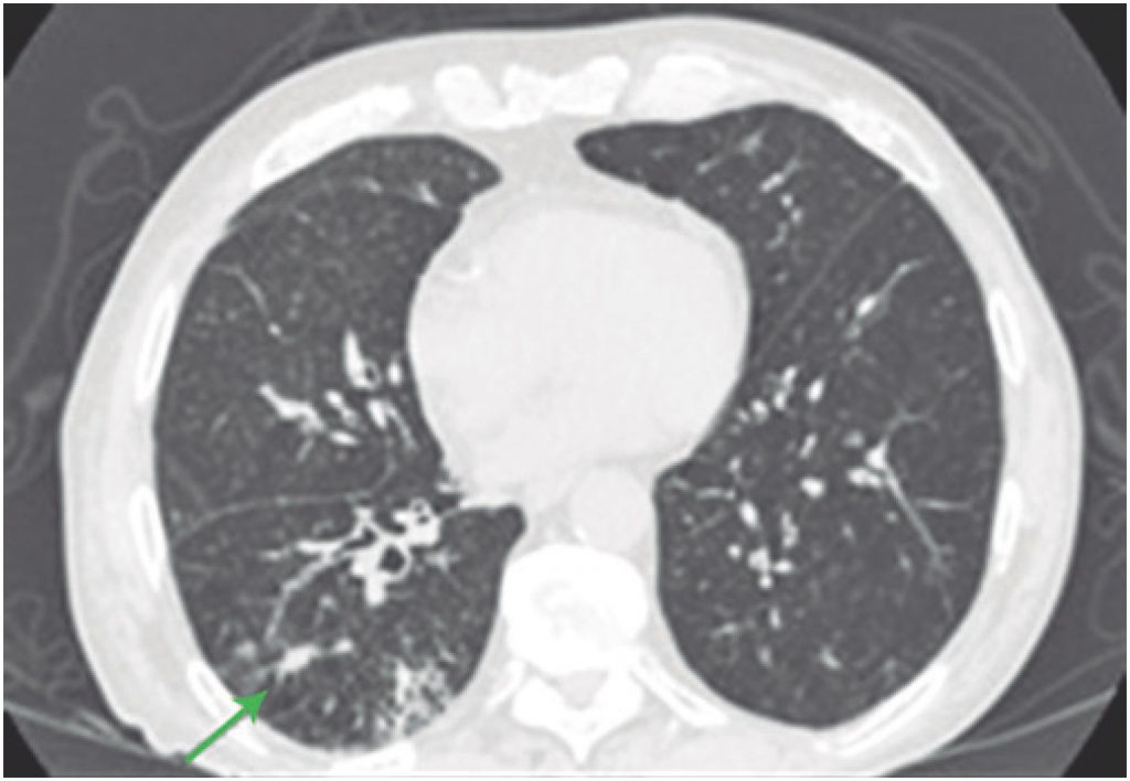
Immunotherapy-induced pneumonitis is a rare complication with incidence estimated around 3%. This disease is difficult to diagnose and has great morbidity. For this reason, it became a challenge for oncologists and emergencists. We reviewed the case of five patients who used anti-PD1 (program cell death receptor antagonist 1) for antineoplastic treatment and developed treatment-induced pneumonitis. All patients had respiratory problems because of immunotherapy and presence of ground-glass radiologic change. Among all patients, only one had grade 5 pneumonitis, and delaying to begin corticosteroid therapy and worsening in clinical picture led to patient death. Other four patients with symptomatic grade 2 pneumonitis underwent corticosteroid therapy and had improvement in clinical and radiologic picture. Two patients were treated after an episode of pneumonitis, and no new pulmonary complications were observed until the end of this study. Immunotherapy-induced pneumonitis, although uncommon, can be potentially fatal. Medical team has the responsibility to pay attention for most common symptoms of the disease such as cough and dyspnea and conduct an early diagnosis and effective early treatment with corticosteroids.
5,428

