einstein (São Paulo). 13/Nov/2025;23:eRC1539.
Hypopituitarism and Rathke’s cleft cyst in 48,XXYY Syndrome: new insights into sex chromosome aneuploidies
DOI: 10.31744/einstein_journal/2025RC1539
ABSTRACT
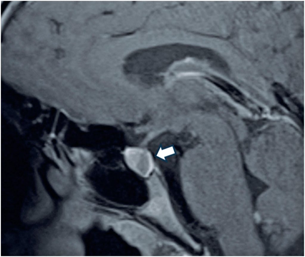
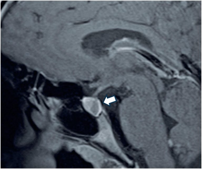
The 48,XXYY syndrome is a rare sex chromosome aneuploidy associated with diverse physical, developmental, and endocrine abnormalities. This case report highlights a 15-year-old male with 48,XXYY syndrome presenting with hypopituitarism and a Rathke’s cleft cyst, offering insights into the interplay between genetic syndromes and pituitary dysfunction. The patient exhibited hyperprolactinemia, central hypothyroidism, central hypoadrenalism, and elevated gonadotropin levels. Brain magnetic resonance imaging revealed a cystic lesion within the sella turcica, consistent with a Rathke’s cleft cyst. The patient also had autism and severe essential tremor. Physical examination revealed a reduced testicular volume without gynecomastia, and genetic analysis confirmed a 48,XXYY karyotype. Hormone replacement therapy with prednisone and levothyroxine was initiated, resulting in adequate hormonal replacement. Follow-up magnetic resonance imaging demonstrated stability of the pituitary cyst, with no evidence of progression. This case highlights the importance of hormonal evaluation in patients with rare sex chromosome aneuploidies. Routine pituitary hormone evaluation and imaging should be integral to the care of individuals with 48,XXYY syndrome. These findings highlight the value of a multidisciplinary approach that integrates endocrinology, genetics, and neurology to address the complex needs of these patients. The association between 48,XXYY syndrome and Rathke’s cleft cyst raises intriguing questions about the potential links between sex chromosome aneuploidies and pituitary abnormalities. This report emphasizes the need for comprehensive endocrine and structural assessments to optimize patient outcomes by contributing to the limited literature on 48,XXYY syndrome.
117

