einstein (São Paulo). 20/May/2022;20:eAO5587.
Effects of topiramate, bupropion and naltrexone isolated or combined on subcutaneous adipose tissue in obese rats
DOI: 10.31744/einstein_journal/2022AO5587
ABSTRACT
Objective:
To evaluate the effects of combining topiramate, bupropion and naltrexone in obesity-induced rats on their weight and subcutaneous adipose tissue.
Methods:
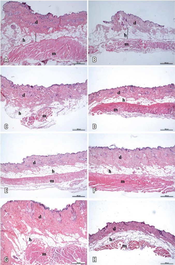
A total of 40 male Wistar rats were induced to obesity for 8 weeks and the animals were divided into 8 groups: Ctr – control, G0 – Sham, G1 – oral saline solution (1.0mL/day), G2 – topiramate (20.0mg/kg) and bupropion (5.0mg/kg), G3 – naltrexone (20.0mg/kg), G4 – topiramate (20.0mg/kg), G5 – bupropion (5.0mg/kg) and G6 – topiramate (20.0mg/kg), bupropion (5.0mg/kg) and naltrexone (20.0mg/kg). During the experiment, all animals were weighed weekly. After 30 days of treatment animals were euthanized and their skin fragments were processed and stained with hematoxylin and eosin for morphological, morphometric and biochemical analyzes.
Results:
The only group that presented a decrease in the volume of subcutaneous adipose tissue was G3, but this decrease was not significant when compared with the other groups. The G4, the G5 and the G6 presented increased adipose tissue volume. Data showed that until the eighth week all animals increased their weight by approximately 50%. After treatment animals of all groups, except G3, increased their weight from 4% to 9% approximately. The G3 was the only group that lost weight, but this decrease was not significant.
Conclusion:
The medicines studied were not efficient in reducing weight in obese rats. However, it should be considered that 30-day treatment period is not enough to observe the stronger effects of these drugs.
Keywords: Topiramate; Bupropion; Naltrexone; Obesity; Subcutaneous fat; Body weight; Rats
415

