einstein (São Paulo). 07/Apr/2022;20:eAO6543.
Degenerative injuries of the metatarsophalangeal plantar plate on magnetic resonance imaging: a new perspective
DOI: 10.31744/einstein_journal/2022AO6543
ABSTRACT
Objective
The magnetic resonance imaging diagnostic criteria for a complete tear of metatarsophalangeal plantar plate are well-established. However, more subtle abnormalities can also occur and be a source of pain. The objective of this study is to determine the prevalence of degenerative plantar plate injuries in patients with metatarsalgia who underwent forefoot magnetic resonance imaging and describe the main abnormalities found. The hypothesis is that mild capsular fibrosis will have high sensitivity but low specificity for plantar plate degenerative injuries.
Methods
A retrospective cross-sectional study was conducted with 85 patients (105 feet) with metatarsalgia who underwent forefoot magnetic resonance imaging using a specific protocol to study metatarsophalangeal plantar plate. The experiment observer classified second toe plantar plate as normal, complete rupture or degenerative lesion and described the main magnetic resonance imaging findings.
Results
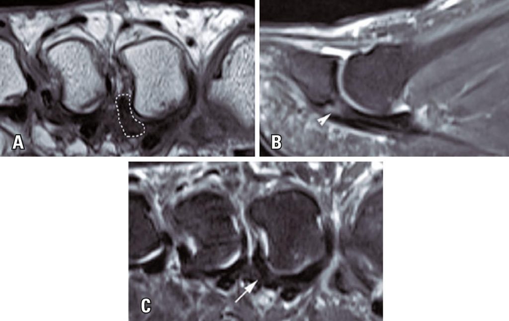
A normal plantar plate was observed in 75 (71.4%) of the 105 feet assessed, in 25 (24%) feet there were degenerative plantar lesions, and in 5 (4.6%) feet there were complete ruptures. Degenerative injury of the plantar plate was best identified in coronal short axis intermediate-weighted images, with high sensitivity (92%). Pericapsular fibrosis below the intermetatarsal ligament was identified in 96% of cases, with high sensitivity (96%) for diagnosis of degenerative plantar plate injury.
Conclusion
Degenerative lesions of the metatarsophalangeal plantar plate were more prevalent than complete ruptures and were best viewed in coronal short axis intermediate-weighted sequences. Pericapsular fibrosis below the intermetatarsal ligament was the indirect finding most strongly associated with degenerative plantar plate injury.
492

