einstein (São Paulo). 18/Jun/2020;18:eRW5741.
COVID-19 findings identified in chest computed tomography: a pictorial essay
DOI: 10.31744/einstein_journal/2020RW5741
ABSTRACT
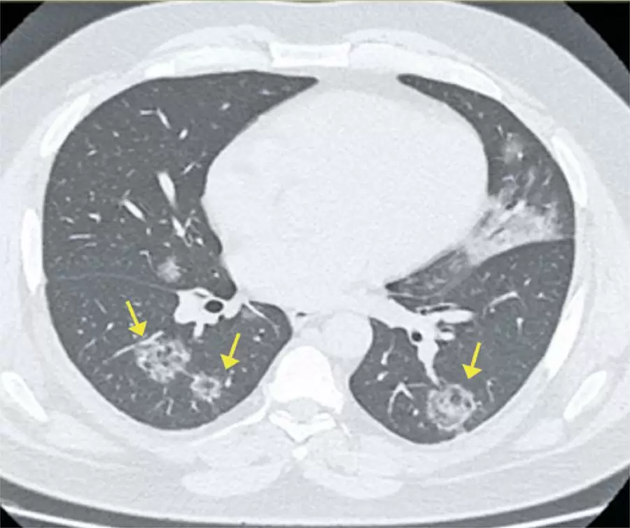
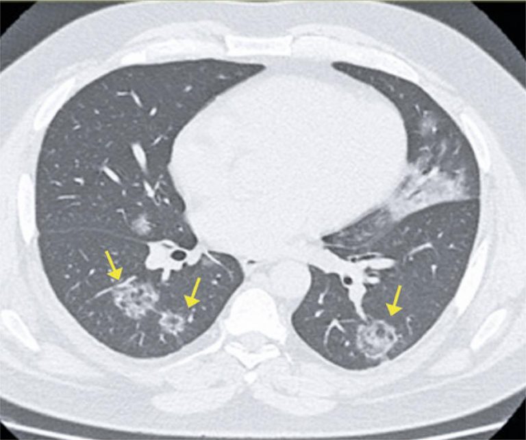
The disease caused by the new coronavirus, or COVID-19, has been recently described and became a health issue worldwide. Its diagnosis of certainty is given by polymerase chain reaction. High-resolution computed tomography, however, is useful in the current context of pandemic, especially for the most severe cases, in assessing disease extent, possible differential diagnoses and searching complications. In patients with suspected clinical symptoms and typical imaging findings, in which there is still no laboratory test result, or polymerase chain reaction is not available, the role of this test is still discussed. In addition, it is important to note that part of the patients present false-negative laboratory tests, especially in initial cases, which can delay isolation, favoring the spread of the disease. Thus, knowledge about the COVID-19 and its imaging manifestations is extremely relevant for all physicians involved in the patient care, clinicians or radiologists.
4,218

