einstein (São Paulo). 16/Dec/2014;12(4):509-12.
Can lumbar hemorrhagic synovial cyst cause acute radicular compression? Case report
DOI: 10.1590/S1679-45082014RC3008
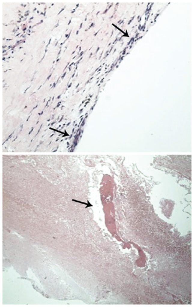
Lumbar synovial cysts are an uncommon cause of back pain and radiculopathy, usually manifesting with gradual onset of symptoms, secondary to involvement of the spinal canal. Rarely, intracyst hemorrhage occurs, and may acutely present as radicular – or even spinal cord – compression syndrome. Synovial cysts are generally associated with degenerative facets, although the pathogenesis has not been entirely established. We report a case of bleeding complication in a synovial cyst at L2-L3, adjacent to the right interfacet joint, causing acute pain and radiculopathy in a patient on anticoagulation therapy who required surgical resection.
3,638

