einstein (São Paulo). 06/Apr/2018;16(1):eRC4015.
Aspects of images in magnetic resonance of liver tumors treated with transarterial selective internal radiotherapy with yttrium-90
DOI: 10.1590/S1679-45082017RC4015
ABSTRACT
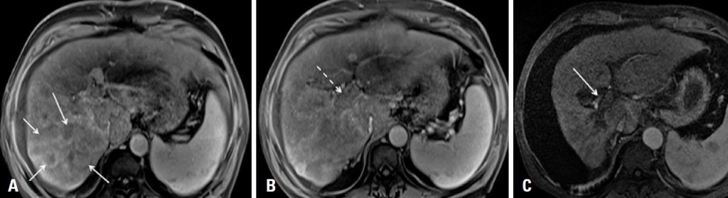
Transarterial selective internal radiation therapy with yttrium-90, also known as radioembolization, is a therapy based on the administration of resin or glass microspheres loaded with the radioisotope yttrium-90, via selective arterial catheterization of tumor-feeding vessels. It is classified as a type of locoregional therapy and its main goal is to treat patients with primary or secondary hepatic lesions that are unresectable and not responsive to other therapies. Since it is a new technology still restricted to very few hospitals in Brazil, but used in patients throughout the country, it is necessary to demonstrate the main aspects of hepatic lesions treated with selective internal radiation therapy found in magnetic resonance imaging, and to make specific considerations on interpretation of these images. The objective of this report is to demonstrate the main aspects of magnetic resonance imaging of unresectable primary or secondary hepatic lesions, in patients submitted to transarterial selective internal radiation therapy.
1,712

