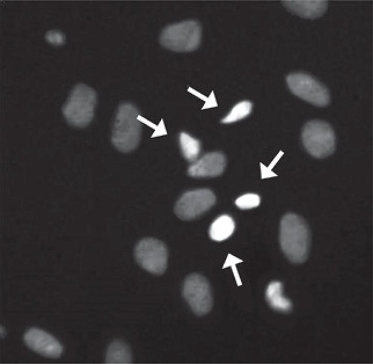
ABSTRACT Objective To evaluate the phytochemical composition of hydroethanolic extracts from powdered aerial parts of Turnera diffusa Willd (Turneraceae; T. diffusa), as well as its toxicity in astrocytes. Methods Chemical analyses of hydroethanolic extract from powdered aerial parts ofT. diffusa were carried out using HPLC-DAD-ESI-MS/MS.In vitro assays using astrocytes culture were performed to evaluate cell death. Results Flavone-C, O-diglycosides, such as, luteolin-8-C-[6-deoxy-2-O-rhamnosyl]-xylo-hexos-3-uloside, apigenin-8-C-[6-deoxy-2-O-rhamnosyl]-xylo-hexos-3-uloside and apigenin-7-O-6”-p-coumaroylglucoside were the main compounds found in this hydroethanolic extract. Concentration time-effect demonstrated the toxicity of […]