einstein (São Paulo). 19/Nov/2020;18:eRC4641.
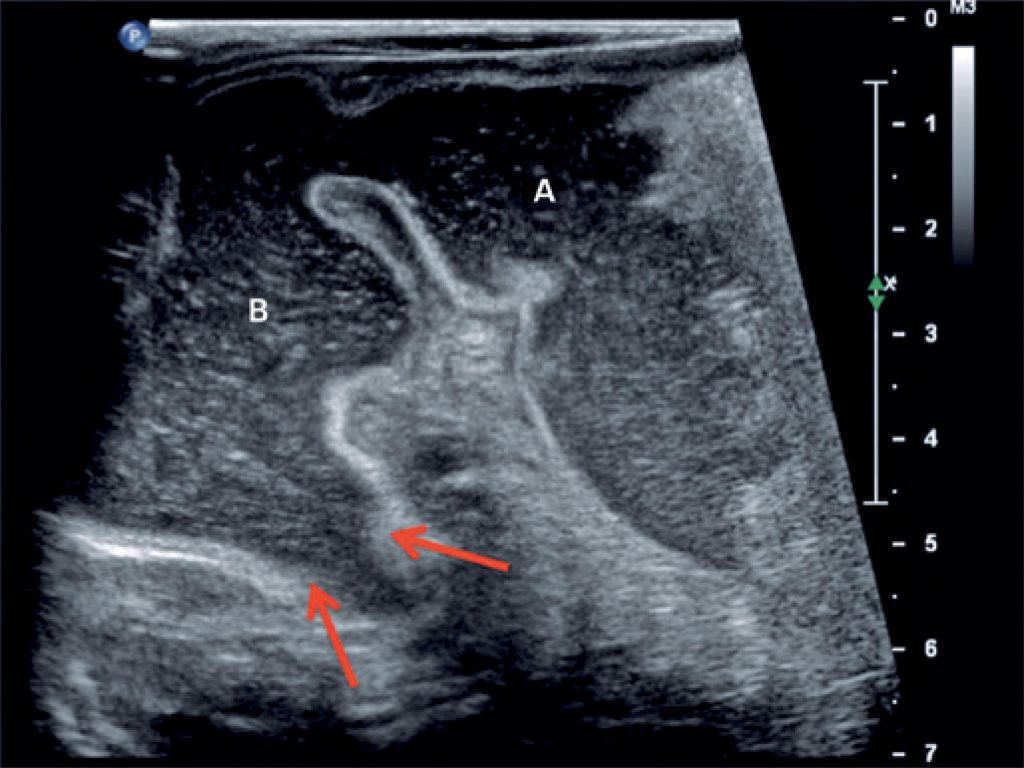
Vomiting in newborns as a result of a duodenal membrane: two case reports
DOI: 10.31744/einstein_journal/2020RC4641
ABSTRACT
Vomiting episodes in newborns are extremely common and often attributed to gastroesophageal reflux. The symptoms of vomiting, however, may be caused by other complications. In this report, we present two cases of a 1-month-old male and a 2-month-old female, both presenting vomiting episodes that led to malnutrition. Some pediatricians often attribute the diagnosis of gastroesophageal reflux to newborns that are vomiting; however, there is a portion of the population that has other causes that lead to similar symptoms. The pediatrician should be alert to the clinical signs of weight loss, dehydration and malnutrition to investigate other causes of vomiting.
Keywords: Duodenal membrane; Gastroesophageal reflux; Malnutrition; Child
1,135

