einstein (São Paulo). 02/Oct/2020;18:eCE5974.
Temporal evolution of tomographic findings of pulmonary infection in COVID-19
DOI: 10.31744/einstein_journal/2020CE5974
Dear Editor,
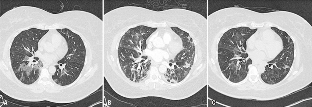
We very enthusiastically read the excellent review article entitled “COVID-19 findings identified in chest computed tomography”, by Rosa et al.,() published in the last issue of this journal. This manuscript shows the relevance of chest computed tomography (CT) in detecting the pulmonary manifestations of the coronavirus disease 2019 (COVID-19), presenting cases in a very didactic manner, but not discussing its role in the follow-up of the disease. Although we know this was not the scope of the authors, we would like to complement this discussion with some topics related to the impact of this imaging method in the prognosis and progression (long-term follow-up) of COVID-19.
[…]
8,387

