einstein (São Paulo). 21/Nov/2018;16(4):eRC4505.
Severe iron-deficiency anemia as initial manifestation of pulmonary hemosiderosis in a child
DOI: 10.31744/einstein_journal/2018RC4505
ABSTRACT
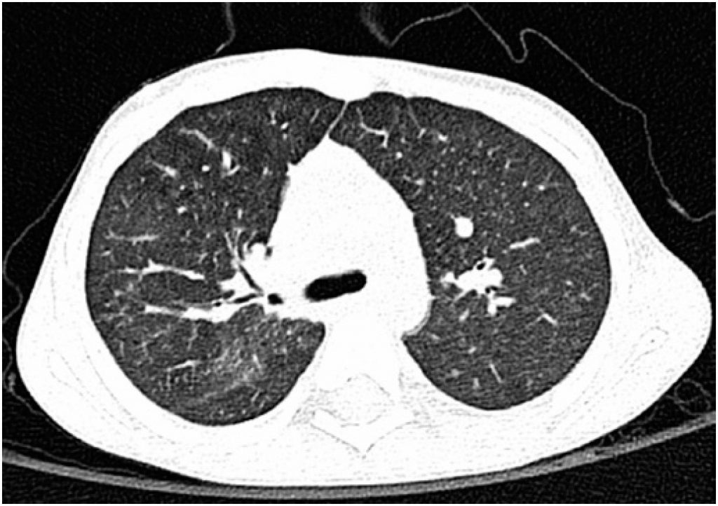
Idiopathic pulmonary hemosiderosis is a potentially fatal disease that results from episodes of alveolar hemorrhage of unknown origin. The clinical spectrum is varied, and anemia may constitute the only manifestation of illness, preceding other signs and symptoms by several months. We present the case of a 4 year-old child presenting with fever, vomiting and prostration, associated with pallor. He had microcytic and hypochromic anemia refractory to iron therapy. Gastrointestinal bleeding was ruled out after negative extensive etiological investigation. Subsequently, pulmonary infiltrates suggestive of alveolar hemorrhage were observed in the chest radiography. The cytological exam of the bronchoalveolar lavage showed hemosiderin-laden macrophages. After the etiological study, the diagnosis of idiopathic pulmonary hemosiderosis was made by exclusion. He was initiated on corticosteroid therapy, later associated to an immunosuppressive agent, with subsequent correction of anemia and of the radiological pattern. The patient is currently asymptomatic.
Keywords: Anemia; Iron deficiency; Pulmonary diseases; Lung disease; Hemosiderosis; Child
2,442

