einstein (São Paulo). 08/Feb/2022;20:eRC5724.
Mammary analogue secretory carcinoma in minor salivary gland
DOI: 10.31744/einstein_journal/2022RC5724
ABSTRACT
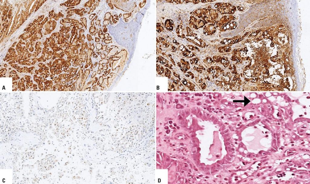
Mammary analogue secretory carcinoma is a rare neoplasm usually confused with other neoplasms in the salivary glands region. It has great similarity with the breast carcinoma. We report a case of a patient who presented with gingival submucosal bleeding and lesion, with the initial histopathological examination revealing salivary gland neoplasm of low crane. Computed tomography revealed the lesion near the tooth 27, with extension to the floor of the left maxillary sinus and to the palate mucosa. Resection of the infra-structure was performed, with a diagnosis of breast cancer secretory carcinoma in the minor salivary gland.
315

