einstein (São Paulo). 02/Jul/2025;23:eRC0634.
Cardiac tamponade in a newborn caused by a peripherally inserted central catheter: case report
DOI: 10.31744/einstein_journal/2025RC0634
ABSTRACT
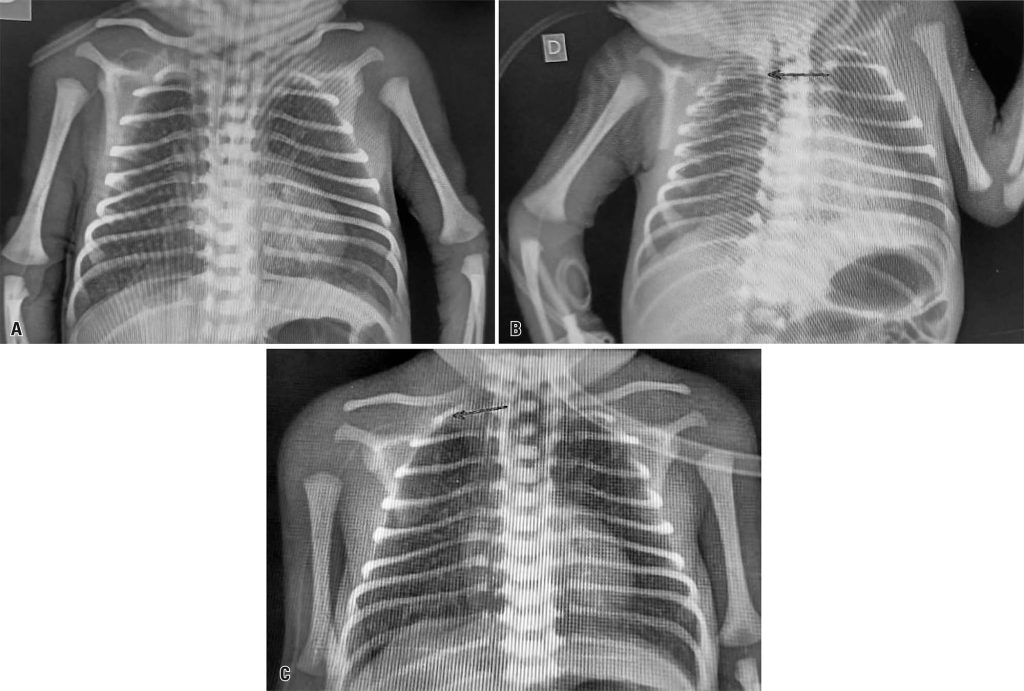
This article describes the occurrence of cardiac tamponade in a premature newborn after the use of a peripherally inserted central catheter at a university hospital in Brazil. Pericardiocentesis was performed, the catheter was repositioned using radiography, and minimal residual pericardial effusion was confirmed using echocardiography. The patient showed good progress and was discharged from the hospital on day 47 of life without any complications related to the event. Therefore, although adverse events may occur following the insertion of peripherally inserted central catheters, imaging examinations and exclusion diagnoses have a positive impact on clinical outcomes. This study emphasizes the importance of a multidisciplinary team for monitoring and managing adverse events and optimizing the care of critically ill newborns.
172

