einstein (São Paulo). 30/Jan/2024;22:eRC0528.
Benign cervical schwannoma with tracheal invasion
DOI: 10.31744/einstein_journal/2024RC0528
ABSTRACT
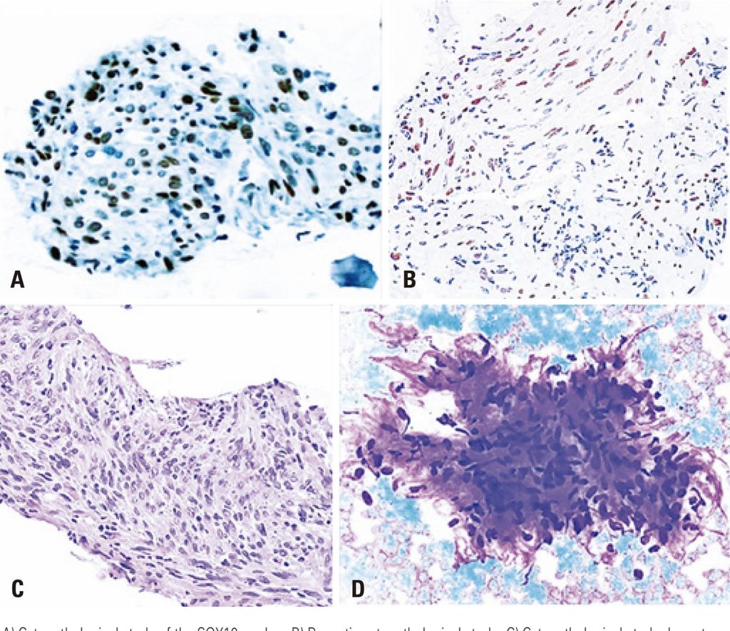
Schwannomas commonly develop in the cervical region, 25% – 45% of cases are diagnosed in this anatomical region. Tracheal neurogenic tumors are exceedingly rare and can be misdiagnosed as invasive thyroid carcinomas or other infiltrating malignancies when present at the level of the thyroid gland. Here, we present a case of synchronous benign cervical schwannoma with tracheal invasion and papillary thyroid carcinoma in a patient who was initially hospitalized for COVID-19. The patient presented with dyspnea that was later found to be caused by tracheal extension of a cervical tumor. Surgical excision was performed, and the surgical team proceeded with segmental tracheal resection, removal of the cervical mass, and total thyroidectomy. The specimen was sent for pathological analysis, which revealed synchronous findings of a benign cervical schwannoma with tracheal invasion and papillary thyroid carcinoma. The literature on this subject, together with the present case report, suggests that neurogenic tumors should be included in the differential diagnosis of obstructing tracheal cervical masses. Surgical excision is the first-line of treatment for benign cervical schwannomas.
342

