einstein (São Paulo). 03/Jun/2020;18:eRC5335.
Autism associated with 12q (12q24.31-q24.33) deletion: further report of an exceedingly rare disorder
DOI: 10.31744/einstein_journal/2020RC5335
ABSTRACT
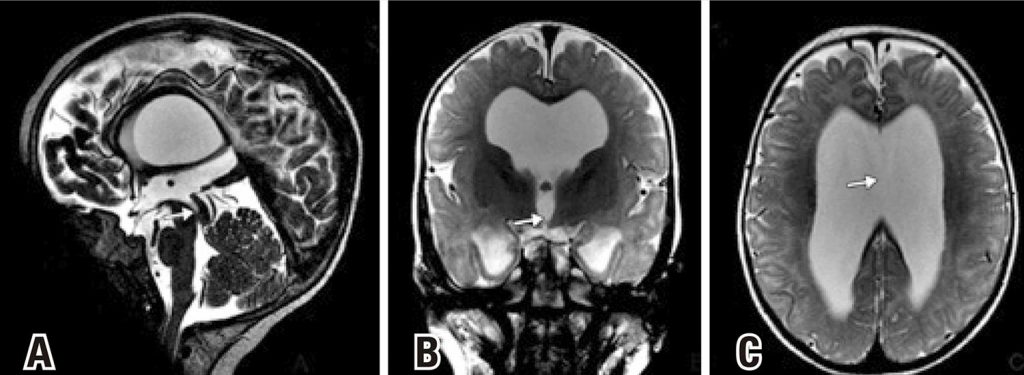
Chromosomal abnormalities are responsible for several congenital malformations in the world, some of these are associated to telomeric/subtelomeric deletions. The abnormalities involving the telomere of chromosome 12 are rare, with few reports of deletions involving 12q24.31 region in the literature, and, to our knowledge, only four of them in the 12q24.31-q24.33 region. We report a further case of interstitial deletion of bands 12q24.31-q24.33 associated with autism spectrum disorder. A 2-year-old boy with global developmental delay associated with multiple congenital anomalies. The Human Genome CGH Microarray 60K confirmed the diagnosis of 12q deletion syndrome. This study made a review of the current literature comparing our patient with previously reported cases. These detailed analyses contribute to the development of genotype/phenotype correlations for 12q deletions that will aid in better diagnosis and prognosis of this deletion.
1,670

