einstein (São Paulo). 09/Oct/2020;18:eRC5831.
Abdominal symptoms as initial manifestation of COVID-19: a case series
DOI: 10.31744/einstein_journal/2020RC5831
ABSTRACT
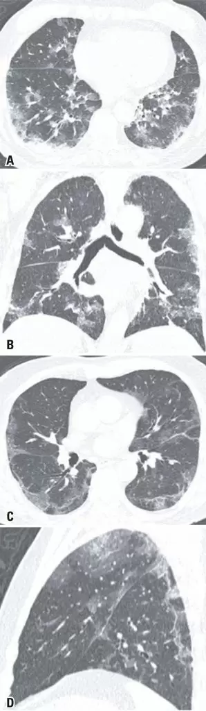
The COVID-19 became a pandemic in early 2020. It was found, at first, that the main manifestations of this new virus occur through respiratory and constitutional symptoms. Therefore, chest tomography was elected as the best imaging test to assess the extent of pulmonary involvement and as a good prognostic predictor for the disease. However, as new studies were produced, the gastrointestinal involvement of COVID-19 becomes more evident, with reports from patients who manifested mainly or only gastrointestinal symptoms in the course of the disease. Thus, in some cases, the initial investigation is carried out at the emergency department with an abdominal computed tomography. We report a case series of ten patients who came to the emergency department of our institution with a chief gastrointestinal complaint, and were initially submitted to an abdominal computed tomography as the first investigation. Although most of the patients did not have significant changes in the abdominal images, most reported patients had pulmonary findings visualized at the lung bases, which were later designated as typical COVID-19 pulmonary findings on chest computed tomography. Only one patient had atypical COVID-19 lung changes on chest computed tomography. All patients had a positive real-time polymerase chain reaction for COVID-19. It is imperative to alert radiologists, especially abdominal radiologists, with the possibility of COVID-19 isolated gastrointestinal symptoms. Besides, it must become a habit to radiologists to assess the pulmonary basis on abdominal scans, a site commonly affected by the new coronavirus.
2,834

