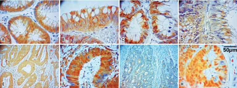
Highlights ■ Family identified with recurrent colorectal cancer, suggestive of Lynch syndrome. ■ A new variant was detected, NM_000251.3(MSH2):c.1894_1898del (p.Ile633Lysfs*9). ■ The variant causes a frameshift mutation leading to a premature stop codon, suggesting pathogenicity. ■ Using bioinformatics tools, we investigated possible escape mechanisms, such as the presence of isoforms without the mutated exon. ■ Location of the variant suggests that it causes non-sense mediated decay, which is reinforced by immunohistochemistry findings showing absence of MSH2 protein expression. ■ Detailed […]