1 results
10/Mar/2025
DOI: 10.31744/einstein_journal/2025RC0362
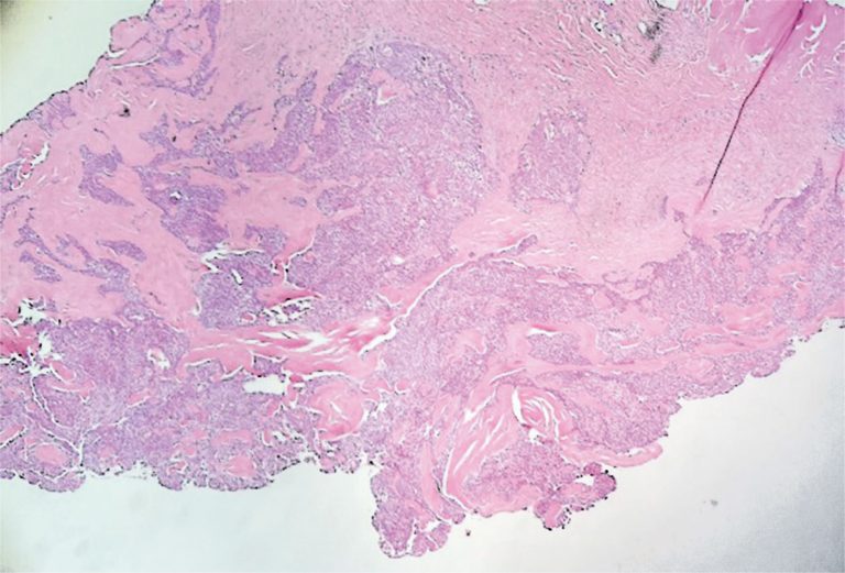
ABSTRACT The etiologies of vulvar nodules range from infectious to neoplastic. Owing to the wide spectrum of vulvar diseases, clinical differentiation of the lesions is crucial for adequate diagnosis and management. A 46-year-old patient presented with a nodular lesion in the vulvar region that had been growing slowly for 10 years. Gynecological examination revealed the presence of a solid nodular lesion measuring approximately 3 cm in the middle third of the right labia majora without phlogistic signs or secretion discharge. […]
Keywords: Adenoma, sweat gland; Diagnosis, differential; Gynecological examination; Sweat gland neoplasms; Vulvar neoplasms