einstein (São Paulo). 01/ago/2018;16(3):eAO4353.
Treinamento físico reverte alterações no diâmetro de mitocôndrias hepáticas de ratos diabéticos induzidos pela Aloxana
DOI: 10.1590/S1679-45082018AO4353
RESUMO
Objetivo
Investigar os efeitos do treinamento físico nos parâmetros morfológicos e metabólicos de ratos diabéticos.
Métodos
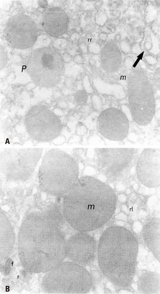
Ratos Wistar foram randomizados para quatro grupos: controle sedentário, controle treinado, diabético sedentário e diabético treinado. Diabetes mellitus foi induzido por administração de Aloxana (35mg/kg) nos Grupos Diabético Sedentário e diabético treinado. O protocolo de treinamento físico incluiu natação com carga de 2,5% do peso corporal, por 60 minutos por dia (5 dias por semana) para os Grupos Controle Treinado e diabético treinado, durante 6 semanas. Ao final do experimento, os ratos foram sacrificados, e o sangue foi coletado para determinação das concentrações séricas de glicose, insulina, albumina e proteínas totais. Amostras do fígado foram coletadas para determinação do glicogênio, proteínas, DNA e diâmetro mitocondrial.
Resultados
O Grupo Sedentário Diabético apresentou redução no peso corporal, insulinemia e glicogênio hepático, além de maior glicemia e diâmetro mitocondrial hepático. O protocolo de treinamento físico em animais diabéticos foi eficiente para restaurar o peso corporal e o glicogênio hepático, além de reduzir o diâmetro mitocondrial hepático.
Conclusão
O treinamento físico melhorou o metabolismo hepático e promoveu importantes adaptações morfológicas, como no diâmetro mitocondrial no fígado de animais diabéticos.
Palavras-chave: Diabetes mellitus; Exercício; Fígado; Ratos Wistar
596

