einstein (São Paulo). 01/abr/2017;15(2):178-85.
Efeito da transecção do parênquima hepático associada ou não à ligadura contralateral da veia porta na regeneração hepática
DOI: 10.1590/S1679-45082017AO3831
RESUMO
Objetivo
Analisar a influência da ligadura da tributária da veia porta no estímulo regenerativo hepático por meio de critérios imuno-histoquímicos.
Métodos
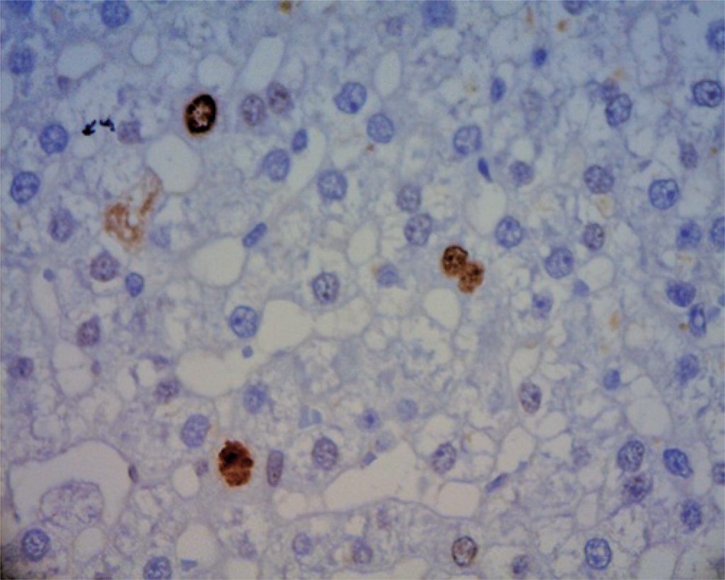
Dez suínos, divididos em dois grupos de cinco animais, foram submetidos à hepatectomia em dois estágios, sendo que os grupos foram diferenciados pela ligadura ou não da tributária da veia porta, responsável pela vascularização dos lobos lateral e medial esquerdos do fígado do suíno. Cinco dias após o procedimento, os animais foram reabordados para retirada de amostras hepáticas para posterior análise de histológica e imunoistoquímica com o marcador Ki67.
Resultados
O grupo submetido à hepatectomia com ligadura vascular apresentou incremento de 4% aproximadamente de hepatócitos em processo de regeneração, bem como grande número de células de Kupffer e células inflamatórias, quando comparado ao controle.
Conclusão
Em virtude da análise positiva da replicação celular observada por meio do marcador Ki67, pode-se observar que a ligadura de uma tributária da veia porta promoveu um maior estímulo de regeneração hepática, efeito observado com menor intensidade no grupo submetido apenas à ressecção hepática.
Palavras-chave: Hepatectomia; Regeneração hepática; Suínos
2.310

