einstein (São Paulo). 01/jul/2016;14(3):374-7.
Achados de imagem na ressonância magnética multiparamétrica dos leiomiomas prostáticos puros
DOI: 10.1590/S1679-45082016AO3715
RESUMO
Objetivo:
Descrever os achados de imagem de tumores prostáticos não adenocarcinoma na ressonância magnética multiparamétrica.
Métodos:
Realizaram ressonância magnética multiparamétrica da próstata para detecção de câncer de próstata 200 pacientes de agosto de 2013 a setembro de 2014, seguida por biópsia com fusão de imagens de ultrassonografia/ressonância magnética.
Resultados:
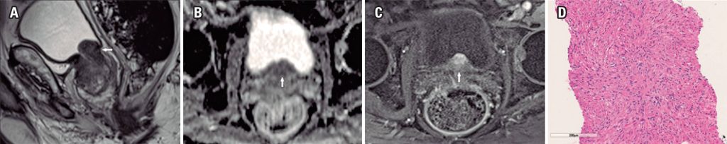
Encontramos três casos confirmados histologicamente de leiomiomas prostáticos puros (0,02%) em nossa casuística e descrevemos os achados da ressonância magnética multiparamétrica destes casos de leiomiomas. Os achados de imagem foram semelhantes aos de lesões com moderada ou alta suspeição para neoplasia clinicamente significante (Likert 4 ou 5) quando localizados na zona de transição ou zona periférica da próstata.
Conclusão:
Leiomiomas puros da próstata tiveram achados de imagem na ressonância magnética multiparamétrica que mimetizaram adenocarcinomas. Radiologistas, urologistas e patologistas devem estar cientes destas entidades e seus achados de imagem.
Palavras-chave: Próstata; Leiomioma; Imagem por ressonância magnética
1.279

