einstein (São Paulo). 01/jan/2010;8(1):117-21.
Uveíte autoimune: estudo de terapias para tratamento
DOI: 10.1590/S1679-45082010RB1416
RESUMO
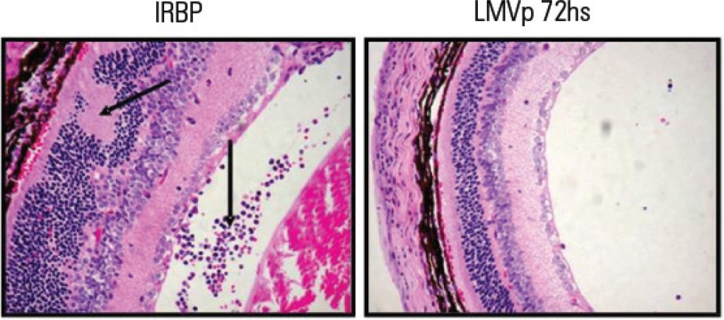
A uveíte autoimune experimental é uma doença autoimune mediada por células T, órgão-específica e caracterizada por inflamação e subsequente destruição da retina neural e tecidos adjacentes. A inflamação na uveíte autoimune experimental pode ser induzida em roedores pela imunização com antígenos retinianos, tais como a proteína interfotorreceptora ligante de retinoide. Apresentamos aqui uma revisão de estudos experimentais que correlacionam as principais funções imunobiológicas com esta doença crônica e o possível uso de moléculas para o tratamento da uveíte autoimune.
Palavras-chave: Uveíte/imunologia; Modelos animais de doenças; Antígenos/imunologia
4.759

