einstein (São Paulo). 01/jan/2014;12(1):109-11.
Recidiva de leucemia mieloide aguda em testículo criptorquídico: relato de caso
DOI: 10.1590/S1679-45082014RC2689
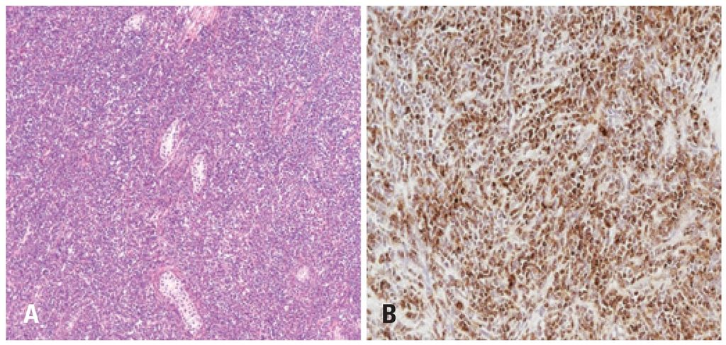
Paciente de 23 anos, masculino, com antecedente de transplante de medula óssea por leucemia mieloide aguda. Há 5 anos, apresentou volumosa massa em região inguinal direita. No exame físico, foi constatada criptorquidia à direita. Os marcadores tumorais alfa-fetoproteína e beta-HCG encontravam-se dentro da normalidade, e a desidrogenase láctica estava aumentada. A tomografia computadorizada de abdomen e pelve revelou massa testicular direita com contiguidade pelo canal inguinal, até o retroperitônio ipsilateral, associada a hidronefrose direita. Devido ao alto risco de neoplasia germinativa em testículo criptorquídico, o paciente foi submetido à orquiectomia radical direita, cujo anatomopatológico revelou recidiva de leucemia mieloide aguda em testículo. Foi encaminhado para oncologia para terapia adjuvante. Nossa revisão não revelou nenhum caso semelhante na literatura.
614

