einstein (São Paulo). 01/abr/2016;14(2):135-42.
O complexo destruidor de betacatenina no carcinoma colorretal e no adenoma cólico
DOI: 10.1590/S1679-45082016AO3678
RESUMO
Objetivo
Avaliar o complexo de destruição da betacatenina no carcinoma colorretal e no adenoma do colo pela expressão das proteínas betacatenina, adenomatous polyposis coli, GSK3β, axina e ubiquitina.
Métodos
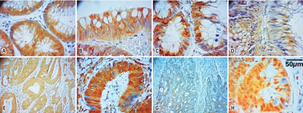
Amostras de tecidos de 64 doentes com carcinoma colorretal e de 53 pacientes com adenoma do colo foram analisadas. Blocos de tecidos foram submetidos ao estudo imuno-histoquímico com anticorpos policlonais nos tecidos do carcinoma, mucosa não neoplásica adjacente e adenoma. A imunorreatividade foi avaliada pela porcentagem de positividade de células coradas e pela intensidade do grau de coloração das proteínas no citoplasma e no núcleo das células. Na análise estatística, foram utilizados o coeficiente de correlação de Spearman, os testes t de Student, χ2, Mann-Whitney e de McNemar, e a análise de regressão logística univariada.
Resultados
No carcinoma colorretal, as expressões da betacatenina e da adenomatous polyposis coli foram significativamente maiores do que em adenomas do colo (p<0,001 e p<0,0001, respectivamente). A imunorreatividade das proteínas GSK3β, axina 1 e ubiquitina foi significativamente maior (p=0,03, p=0,039 e p=0,03, respectivamente) no carcinoma colorretal do que no adenoma e na mucosa não neoplásica adjacente. A coloração imuno-histoquímica dessas proteínas não apresentou diferenças significantes em relação às características clinicopatológicas do câncer colorretal e do adenoma.
Conclusões
Em adenomas, as menores expressões de betacatenina, axina 1 e GSK3β indicaram que o complexo de destruição da betacatenina estava conservado, enquanto que, no carcinoma colorretal, o aumento das expressões da betacatenina, GSK3β, 1 axina, e ubiquitina indicaram que o complexo de destruição de betacatenina estava alterado.
859

