einstein (São Paulo). 01/jan/2014;12(1):100-5.
Normalização da contagem de linfócitos após dose ablativa de I-131 em um paciente com leucemia linfóide crônica e carcinoma papilífero da tireóide. Relato de caso
DOI: 10.1590/S1679-45082014RC2657
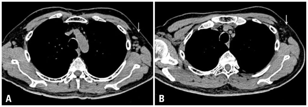
Os autores relatam o caso de um paciente de 70 anos com leucemia linfóide crônica que apresentou subsequentemente um carcinoma papilífero da tireóide com metástases para linfonodos regionais. O paciente foi tratado com tireoidectomia total cirúrgica com exérese de linfonodos regionais e cervicais e radioiodoterapia (I-131). A pesquisa de corpo inteiro protocolar de controle 4 dias após a dose radioativa mostrou captação de I-131 em ambas as axilas e mesmo nas regiões inguinais. PET/CT mostrou discreta captação de FDG-F-18 em um linfonodo da axila esquerda. A biópsia por agulha fina guiada por ultrassom deste linfonodo identificado por SPECT/CT com I-131 e PET/CT com FDG-F-18 revelou células linfomatosas e foi negativa para tecido tireoidiano e conteúdo de tireoglobulina. Os hemogramas sequenciais feitos rotineiramente após tratamento com radiações mostraram uma acentuada queda até retorno aos valores normais de leucócitos e de linfócitos (absolutos e relativos), que continuavam normais no último controle 19 meses após a administração do radioiodo. Tomografia computadorizada de tórax mostrou uma redução em tamanho de linfonodos axilares e para-aorticos. Por imunohistoquímica, as células da linhagem linfoide B decresceram de 52% antes da radioiodoterapia para 5% depois do procedimento. Os autores conjeturam sobre uma possível expressão de symporter de iodeto de sódio pelas células deste linfoma, à semelhança de outros tumores não tireoidianos, tais como células de câncer da mama.
913

