einstein (São Paulo). 01/out/2016;14(4):553-6.
Amiloidose primária isolada do músculo reto inferior simulando orbitopatia de Graves
DOI: 10.1590/S1679-45082016RC3744
RESUMO
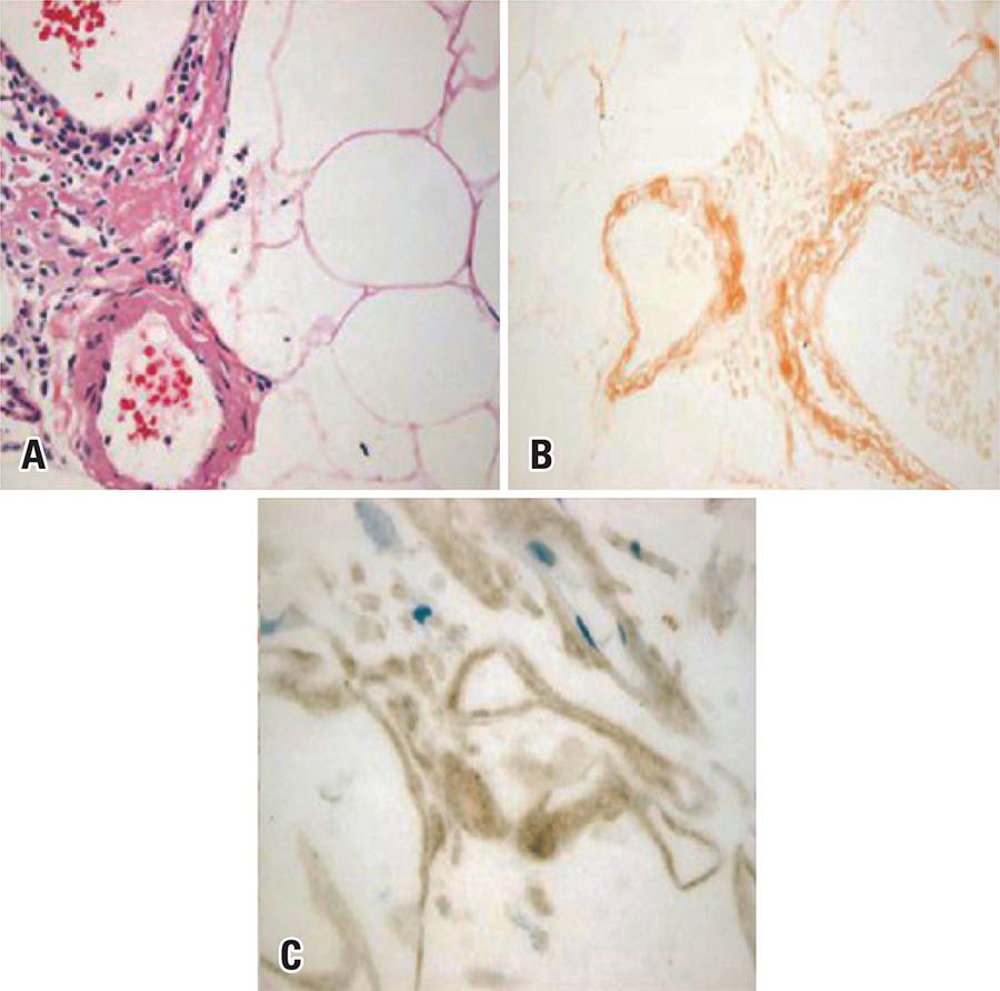
O diagnóstico de orbitopatia de Graves usualmente é fácil de ser estabelecido. No entanto, doenças da órbita que simulam alguns sinais clínicos da orbitopatia de Graves podem levar à confusão diagnóstica, particularmente quando associada à alguma forma de disfunção tireoidiana. Relatamos a ocorrência rara de amiloidose localizada no músculo reto inferior em paciente com hipotireoidismo autoimune, que recebeu inicialmente o diagnóstico errôneo de orbitopatia de Graves. Paciente masculino, 48 anos, com queixa de proptose progressiva e indolor do lado esquerdo e diplopia vertical intermitente há 6 meses. O diagnóstico de orbitopatia de Graves foi considerado após a realização de ressonância magnética, que revelou aumento importante do músculo reto inferior esquerdo, sem acometimento do tendão, e uma propedêutica sistêmica detectou hipotireoidismo autoimune. Como não houve melhora com o tratamento clínico, o paciente foi encaminhado a um oftalmologista, que realizou nova investigação. A presença de calcificação no músculo reto inferior na tomografia computadorizada, associada aos achados clínicos, levou a uma biópsia da lesão, que demonstrou a deposição de material amiloide. Este relato enfatiza como uma avaliação minuciosa das formas atípicas de orbitopatia de Graves é essencial e deve incluir a ocorrência, embora rara, de amiloidose no diagnóstico diferencial da orbitopatia de Graves.
330

