einstein (São Paulo). 01/abr/2017;15(2):186-91.
Ação da vanilina (Vanilla planifolia) sobre a morfologia dos músculos tibial anterior e sóleo após lesão nervosa
DOI: 10.1590/S1679-45082017AO3967
RESUMO
Objetivo
Avaliar a ação da vanilina (Vanilla planifolia) sobre a morfologia dos músculos tibial anterior e sóleo após lesão nervosa periférica.
Métodos
Ratos Wistar foram divididos em quatro grupos, com sete animais cada, sendo Grupo Controle, Grupo Vanilina, Grupo Lesão e Grupo Lesão + Vanilina. Os animais dos Grupos Lesão e Grupo Lesão + Vanilina foram submetidos à lesão nervosa por meio da compressão do nervo isquiático, e os Grupos Vanilina e Grupo Lesão + Vanilina foram tratados diariamente com doses orais de vanilina (150mg/kg) do 3
ao 21
dia após a indução da lesão nervosa. Ao término do experimento, os músculos tibial anterior e sóleo foram dissecados e seguiram o processamento de rotina em microscopia de luz, para posterior análise morfológica.
Resultados
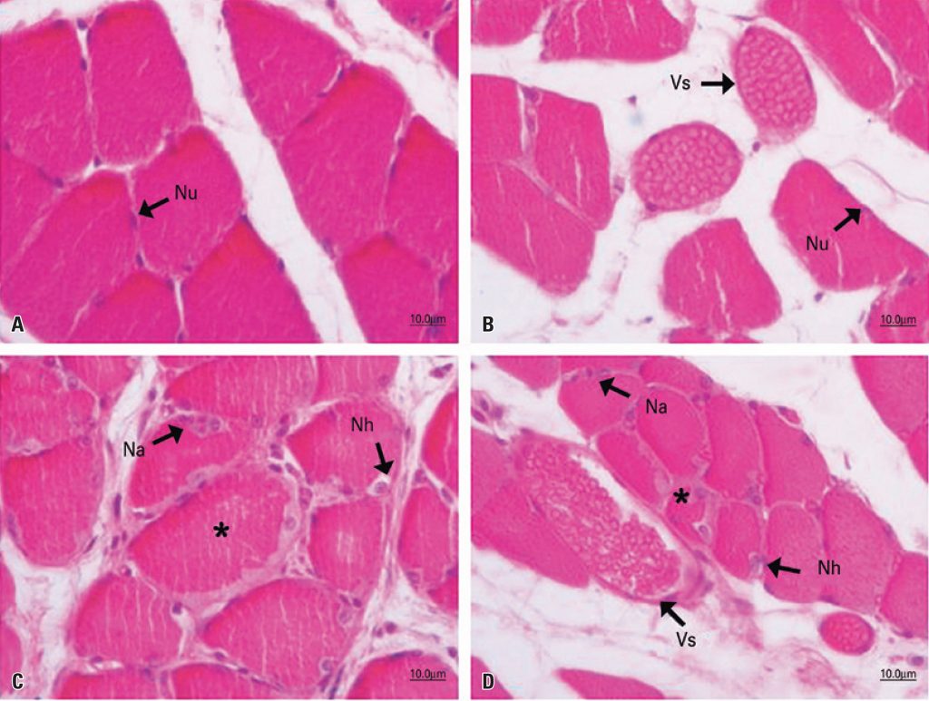
A compressão nervosa promoveu alterações morfológicas características de denervação, sendo que o tratamento com vanilina foi responsável por respostas distintas nos músculos estudados. Para o tibial anterior, houve aumento do número de células satélites, núcleos centrais e atrofia das fibras, bem como desorganização fascicular. Já no sóleo, houve apenas aumento da vascularização, sem exacerbação das alterações morfológicas nas fibras.
Conclusão
O tratamento com vanilina promoveu o aumento da vascularização intramuscular para os músculos estudados, com potencial pró-inflamatório para o tibial anterior, o que não ocorreu no músculo sóleo.
373

